Farmacología

Enfermedad por coronavirus en bebés hospitalizados menores de 1 año de edad en China

17 febrero 2020

Dado el número de infecciones informadas, la cantidad de bebés infectados identificados, aunque es posible, parece ser pequeña. Puede deberse a un menor riesgo de exposición o identificación incompleta debido a enfermedad leve o asintomática, en lugar de resistencia a la infección. Debido a que los bebés menores de 1 año no pueden usar máscaras, requieren medidas de protección específicas. Los cuidadores adultos deben usar máscaras, lavarse las manos antes del contacto cercano con los bebés y esterilizar los juguetes y la vajilla de los bebés con regularidad. JAMA,14 de febrero de 2020

Informe OPS: Enfermedad por el Coronavirus ‎‎(COVID-19)‎

13 febrero 2020

La Organización Panamericana de la Salud actualiza la evolución de la epidemia. La enfermedad producida por el virus se denominará oficialmente: COVID-19.  OPS, 12 de febrero de 2020.

Corticoides en la neumonía por 2019-nCoV

10 febrero 2020

Revisando los antecedentes del uso de corticosteroides en cuadros virales relacionados, no existe un buen motivo para esperar que los pacientes con infección por 2019-nCoV se beneficien de su uso, y podrían ser más propensos a sufrir los efectos adversos. Deberían usarse sólo en el contexto de un ensayo clínico. The Lancet, 7 de febrero de 2020

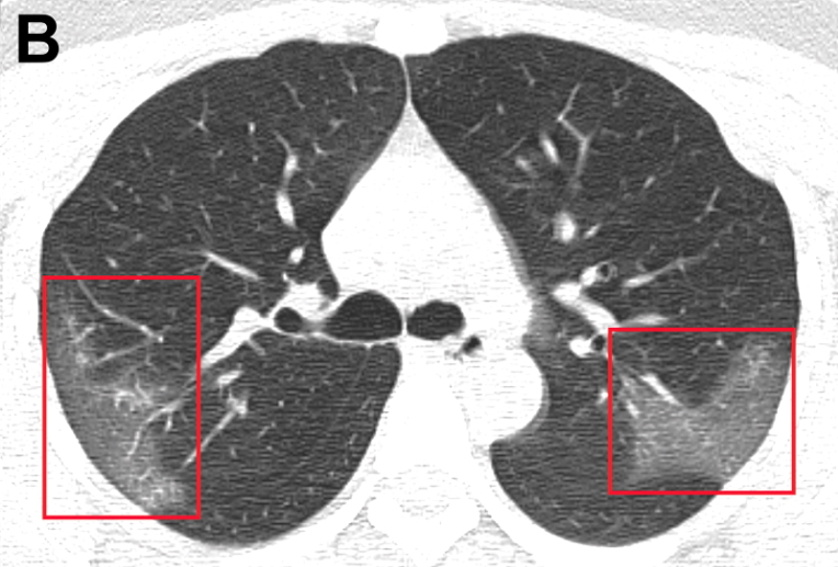
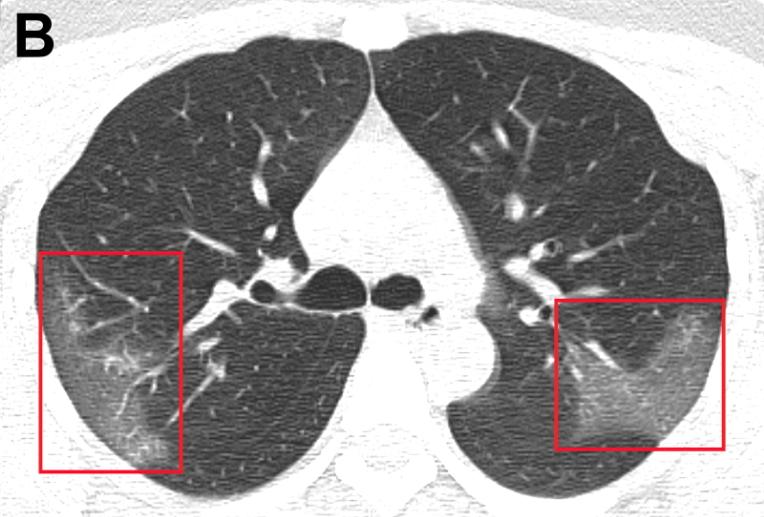
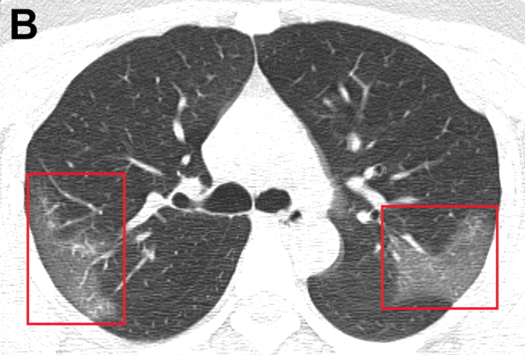
Características clínicas de los pacientes internados con neumonía por 2019-nCoV

10 febrero 2020

Cuadro febril con fatiga y tos seca, evoluciona a disnea en 5 días; presenta linfopenia, LDH elevada y tiempo de protrombina prolongado; tomografía con opacidad bilateral en vidrio esmerilado. El 26% requirió cuidados intensivo y el 4,3% falleció. JAMA, 7 de febrero de 2020

Nuevo coronavirus 2019-nCoV: recomendaciones oficiales para Argentina

06 febrero 2020

En esta etapa, el sistema de salud tiene que estar atento a cuadros infecciosos compatibles con la enfermedad y que tengan además un posible vínculo epidemiológico. Ministerio de Salud, 4 de febrero de 2020

Categorias

Etiquetas