Farmacología

Informe OPS: Enfermedad por el Coronavirus ‎‎(COVID-19)‎

13 febrero 2020

La Organización Panamericana de la Salud actualiza la evolución de la epidemia. La enfermedad producida por el virus se denominará oficialmente: COVID-19.  OPS, 12 de febrero de 2020.

Corticoides en la neumonía por 2019-nCoV

10 febrero 2020

Revisando los antecedentes del uso de corticosteroides en cuadros virales relacionados, no existe un buen motivo para esperar que los pacientes con infección por 2019-nCoV se beneficien de su uso, y podrían ser más propensos a sufrir los efectos adversos. Deberían usarse sólo en el contexto de un ensayo clínico. The Lancet, 7 de febrero de 2020

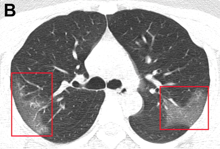
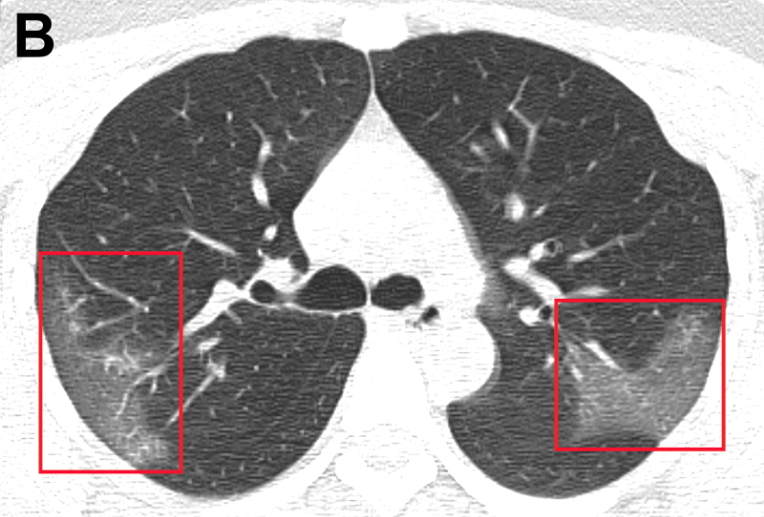
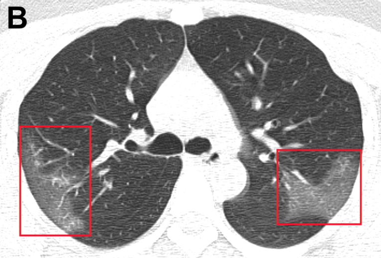
Características clínicas de los pacientes internados con neumonía por 2019-nCoV

10 febrero 2020

Cuadro febril con fatiga y tos seca, evoluciona a disnea en 5 días; presenta linfopenia, LDH elevada y tiempo de protrombina prolongado; tomografía con opacidad bilateral en vidrio esmerilado. El 26% requirió cuidados intensivo y el 4,3% falleció. JAMA, 7 de febrero de 2020

Nuevo coronavirus 2019-nCoV: recomendaciones oficiales para Argentina

06 febrero 2020

En esta etapa, el sistema de salud tiene que estar atento a cuadros infecciosos compatibles con la enfermedad y que tengan además un posible vínculo epidemiológico. Ministerio de Salud, 4 de febrero de 2020

Neumonía por 2019-nCoV: datos de 425 casos

30 enero 2020

El período de incubación en esta serie con los primeros pacientes de China se estimó en 5,2 (4,1-7,0) días, con tiempo de duplicación de los casos de 7,4 días para esta fase inicial. New England Journal of Medicine, 29 de enero de 2020.

Categorias

Etiquetas