Farmacología

Warfarina superior a rivaroxabán en pacientes con sindrome antifosfolípido de alto riesgo

30 octubre 2018

El ensayo clínico se finalizó en forma prematura por el aumento de la tasa de eventos tromboembólicos en los pacientes con rivaroxabán en comparación con warfarina. Blood, septiembre de 2018

Uso de anticoagulantes y pronóstico de la hemorragia cerebral

25 enero 2018

La mortalidad hospitalaria fue mayor con todos los agentes anticoagulantes, superando el riesgo de la la warfarina al de los anticoagulantes orales directos. JAMA, 25 de enero de 2018

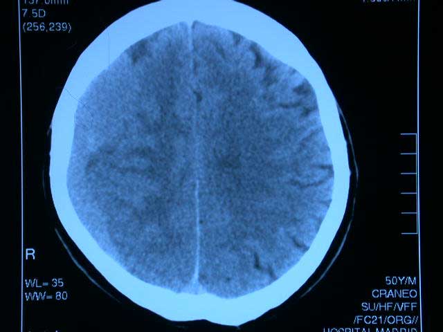
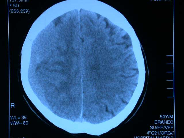
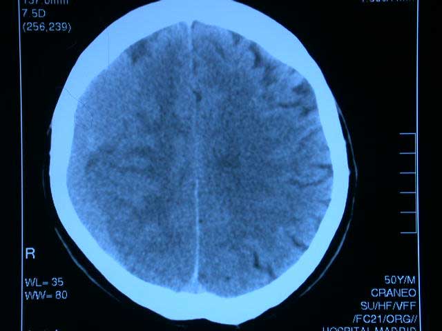
Fármacos antitrombóticos y hematoma subdural

01 marzo 2017

El uso creciente de fármacos anticoagulantes y antiagregantes se asocia a un aumento de hematomas subdurales, especialmente en los mayores de 75 años. La combinación de antagonistas de vitamina K con antiplaquetarios potencia el riesgo. JAMA, 28 de febrero de 2017

Categorias

Etiquetas