Farmacología

Ninguna acción está exenta de efectos secundarios: reacciones adversas a los medicamentos y dosis omitidas de terapia antituberculosa, revisión panorámica

21 septiembre 2023

Existe amplia evidencia de que las reacciones adversas son un factor clave en la omisión de dosis de tratamiento antituberculoso. Algunos artículos examinaron reacciones adversas a medicamentos (RAM) específicas y ninguno evaluó los patrones de dosis omitidas debido a RAM, lo que demuestra un déficit de conocimiento. Saber por qué se omiten y por qué no se omiten dosis es esencial para proporcionar intervenciones específicas que mejoren los resultados del tratamiento. Br J Clin Pharmacol, 15 de septiembre de 2023

Prevenibilidad de las reacciones adversas a medicamentos relacionadas con los antibióticos

08 agosto 2023

Las reacciones adversas a medicamentos (RAM) relacionadas con el uso de antibióticos representan más de la mitad de las RAM notificadas espontáneamente en Vietnam. Aproximadamente uno de cada diez casos informados está asociado con RAM prevenibles (RAMp). La mayoría de las RAMp se pueden prevenir mediante una simple mejora en las prácticas de prescripción de antibióticos. Ther Innov Regul Sci, 30 de junio de 2023

Dispensación mundial de antibióticos sin receta en farmacias comunitarias y factores asociados: revisión sistemática de métodos mixtos

26 abril 2023

Los hallazgos cualitativos sugirieron cuatro factores principales que impulsan la dispensación de antibióticos sin receta. En primer lugar, la fuerte demanda de antibióticos sin receta por parte de los clientes y la falta de conocimientos pertinentes; segundo, personal de farmacia motivado por puntos de vista financieros o personales; en tercer lugar, los servicios alternativos de atención de la salud son costosos o inconvenientes, o tienen prácticas de prescripción irregulares; y finalmente, débil regulación social, industrial y legal. La administración actual de antibióticos debe fortalecerse.. Lancet Infect Dis. 24 de abril de 2023

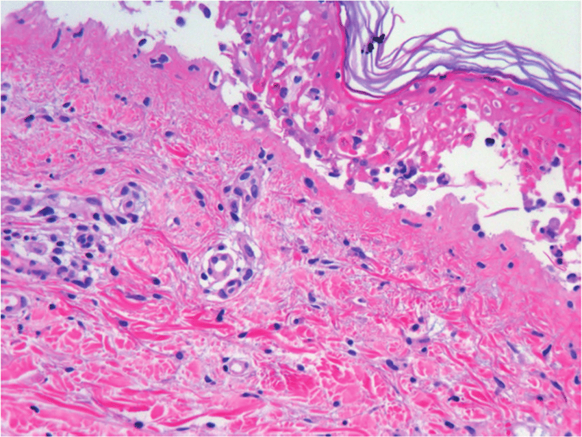
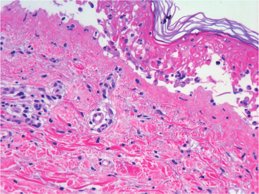
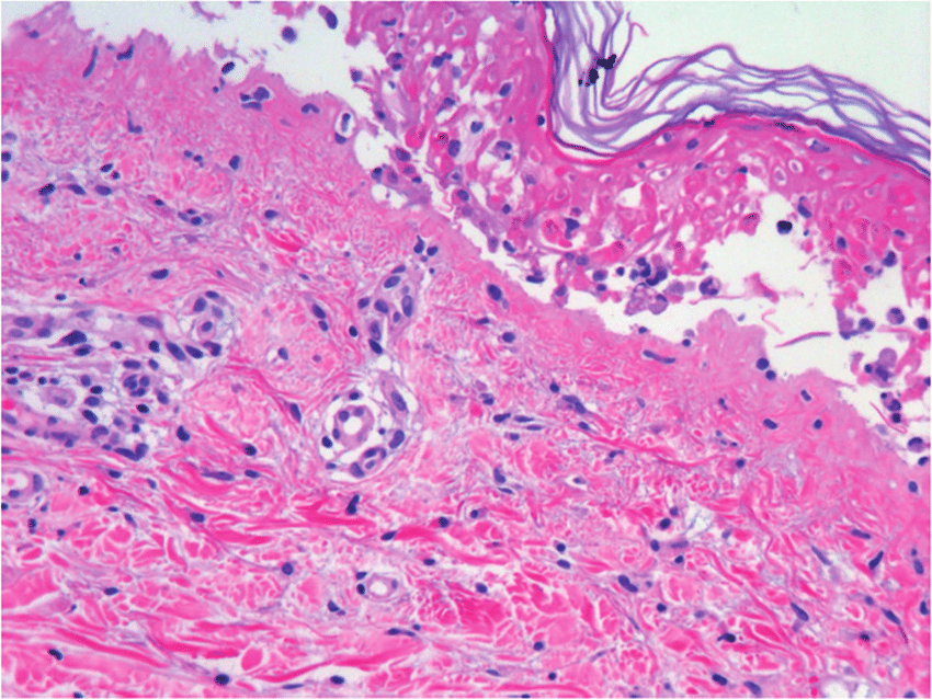
Prevalencia mundial del síndrome de Stevens-Johnson y necrólisis epidérmica tóxica asociados a antibióticos

24 febrero 2023

En esta revisión sistemática y metanálisis de todas las series de casos, los antibióticos se asociaron con más de una cuarta parte de los casos de síndrome de Stevens-Johnson y la necrólisis epidérmica tóxica descritos en todo el mundo. La clase de sulfonamida se asoció con el 32 % de los casos, seguida de las penicilinas (22 %), las cefalosporinas (11 %), las fluoroquinolonas (4 %) y los macrólidos (2 %). Estos hallazgos resaltan la importancia de la administración de antibióticos, la educación y la concientización de los médicos, y sopesar la evaluación de riesgo-beneficio de la elección y duración de los antibióticos. JAMA Dermatol. 15 de febrero de 2023

Consumo y uso global de antibióticos en humanos, 2000-18: un estudio de modelado espacial

17 noviembre 2021

Hasta donde sabemos, este es el primer estudio que incorpora datos de uso y consumo de antibióticos y utiliza técnicas de modelado geoestadístico para estimar el consumo de antibióticos en 204 países entre 2000 y 2018. Nuestro análisis identifica tanto las altas tasas de consumo de antibióticos como la falta de acceso a los mismos, proporcionando un punto de referencia para futuras intervenciones.  Lancet Planet Health, 11 de noviembre de 2021

Categorias

Etiquetas