Farmacología

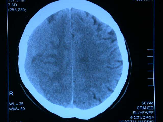
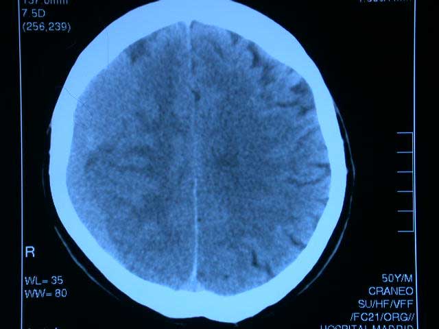
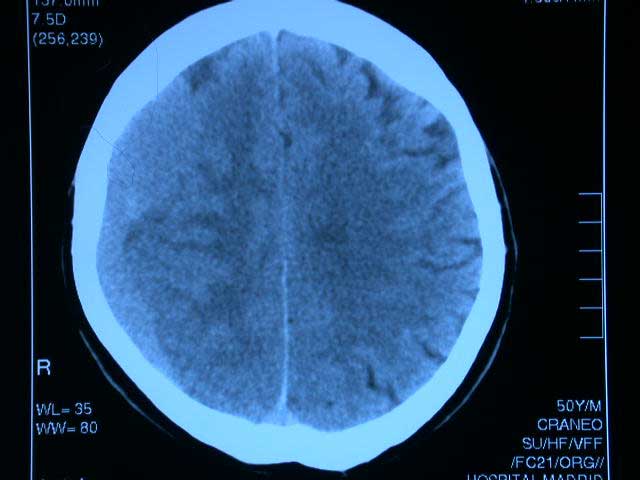
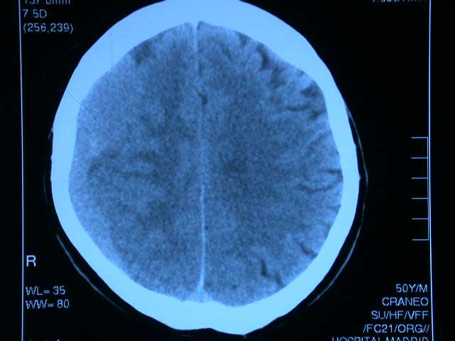
Brote de coagulopatía asociada a cannabinoides sintéticos en Illinois

27 septiembre 2018

N Engl J Med , 27 de septiembre de 2018 los datos de este estudio indican que los adulterantes de superwarfarina de los cannabinoides sintéticos pueden conducir a una coagulopatía clínicamente significativa. En nuestra serie, en la mayoría de los casos en que el paciente presentó diátesis hemorrágica, los síntomas se controlaron con el uso de terapia de reemplazo de vitamina K1. Los compuestos cannabinoides sintéticos específicos no se conocen.

Carga de las hospitalizaciones relacionadas con eventos adversos de medicamentos en los EE.UU.: un análisis retrospectivo de gran base de datos de pacientes hospitalizados.

10 julio 2017

Pharmacoepidemiol Drug Saf. junio de 2017 La RAM conducen a una carga significativa de la atención hospitalaria, incurre en mayores costos , y tienen mayor mortalidad. Las políticas dirigidas a reducirlas podrían ayudar a disminuir la mortalidad, así como reducir los costos.

Fármacos antitrombóticos y hematoma subdural

01 marzo 2017

El uso creciente de fármacos anticoagulantes y antiagregantes se asocia a un aumento de hematomas subdurales, especialmente en los mayores de 75 años. La combinación de antagonistas de vitamina K con antiplaquetarios potencia el riesgo. JAMA, 28 de febrero de 2017

Mitos y realidades de los nuevos anticoagulantes orales en fibrilación auricular.

12 enero 2017

FMC, enero de 2017 A lo largo de este editorial se analizan aspectos puntuales de los estudios pivotales de dabigatrán, rivaroxabán, apixabán, edoxabán. Sin dejar de hacer consideraciones sobre las implicancias generales sobre la política de regulación de medicamentos, la independencia de los profesionales sanitarios, y por último aspectos prácticos para el Sistema Nacional de Salud.

Efectos adversos de los medicamentos: problema frecuente en la sala de emergencias

05 diciembre 2016

Se estima que uno de cada 250 personas consultará cada año a Emergencias por una reacción adversa a fármacos, y una cuarta parte necesitará internación. Antibióticos, anticoagulantes e hipoglucemiantes son los principales responsables. JAMA, 22 de noviembre de 2016

Categorias

Etiquetas