Farmacología

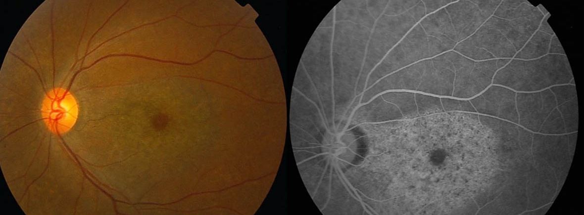
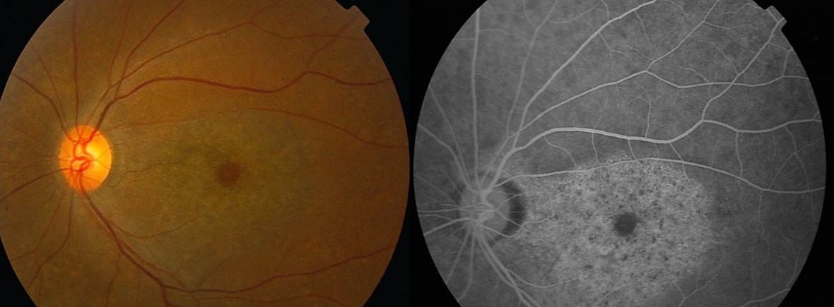
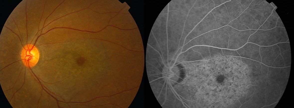
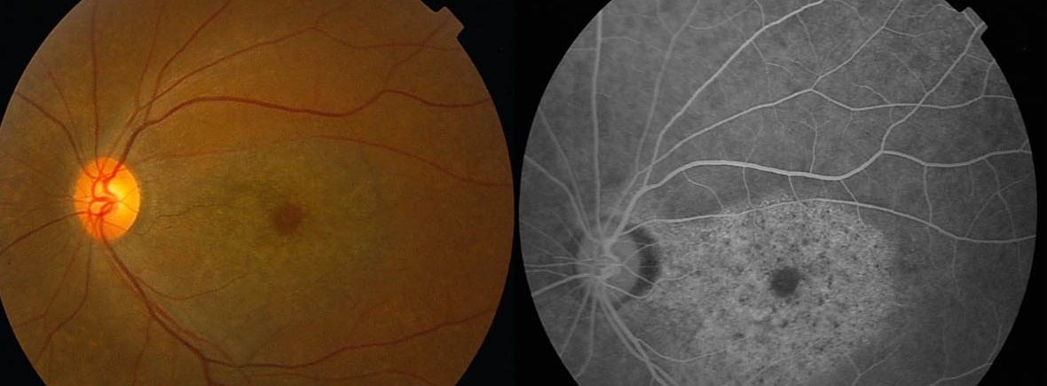
Riesgo de retinopatía con el uso crónico de hidroxicloroquina

17 enero 2023

La hidroxicloroquina se indica en forma crónica en pacientes con lupus eritematoso sistémico y otras afecciones inflamatorias. En esta gran cohorte contemporánea con vigilancia activa para la detección de retinopatía se encontró que el riesgo fue del 8,6 % después de 15 años, y la mayoría de los casos fueron leves. La dosis más alta de hidroxicloroquina se asoció con un riesgo progresivamente mayor de retinopatía incidente. Annals of Internal Medicine, 17 de enero de 2023.

Resultados alejados del tratamiento para Covid 19: estudio REMAP-CAP

21 diciembre 2022

En los pacientes críticos con COVID-19 aleatorizados para recibir 1 o más intervenciones terapéuticas, el tratamiento con un antagonista del receptor de IL-6 y la administración de un antiplaquetario tuvieron alta probabilidad de mejorar la sobrevida a los 6 meses. No se halló eficacia para el tratamiento con anticoagulantes en dosis terapéuticas, lopinavir/ritonavir ni el plasma de convalecientes, mientras que la hidroxicloroquina sola o combinada con lopinavir/ritonavir generaron daño. JAMA, 16 de diciembre de 2022.

Estudios favorables muy citados de tratamientos para COVID-19 que resultaron ineficaces en ensayos grandes

21 septiembre 2022

Muchos estudios clínicos con conclusiones favorables en tratamientos, en gran parte ineficaces, para la enfermedad por coronavirus 2019,  son ampliamente citados y difundidos sin críticas. Los estudios observacionales tempranos y los  ensayos aleatorios pequeños pueden dar lugar a afirmaciones falsas de eficacia que se perpetúan. J Clin Epidemiol. 2022

Seguridad de medicamentos y sustancias de uso frecuente para automedicación en COVID-19

04 mayo 2022

El objetivo de esta revisión es describir la evidencia disponible sobre la eficacia, seguridad y seguimiento de los fármacos y sustancias que han demostrado ser de uso frecuente para la automedicación en pacientes con COVID-19 (hidroxicloroquina, antiinflamatorios no esteroideos, antiinflamatorios, ivermectina, azitromicina, vitaminas, aspirina y dióxido de cloro) para caracterizar adecuadamente sus riesgos, uso seguro, estrategias de vigilancia y reforzar el concepto de que estas sustancias no deben utilizarse para la automedicación y requieren prescripción médica. Ther Adv Drug Saf, 21 de abril de 2022

Uso de fármacos adyuvantes y reutilizados en pacientes hospitalarios con covid-19: estudio de cohorte en red multinacional

12 mayo 2021

Se utilizaron múltiples fármacos en los primeros meses de la pandemia de covid-19, con variaciones geográficas y temporales sustanciales. La hidroxicloroquina, azitromicina, lopinavir-ritonavir y umifenovir (solo en China) fueron los fármacos reutilizados más recetados. Los antitrombóticos, antibióticos, antagonistas de los receptores H2 y corticosteroides se utilizaron a menudo como tratamientos complementarios. Se necesita investigación sobre el riesgo comparativo y el beneficio de estos tratamientos en el manejo del covid-19.  BMJ 11 de mayo de 2021

Categorias

Etiquetas