Farmacología

Dejar de fumar y mortalidad a corto y largo plazo

15 febrero 2024

Dejar de fumar a cualquier edad, pero especialmente en los más jóvenes, se asoció con un menor exceso de mortalidad en general y por enfermedades vasculares, respiratorias y neoplásicas. Las asociaciones beneficiosas fueron evidentes ya 3 años después de dejar de fumar.  NEJM Evid. 8 de febrero de 2024

Evaluación de las intervenciones de control del tabaco y los resultados de salud a nivel de la población: revisión sistemática y metanálisis.

20 julio 2023

En esta revisión sistemática y metanálisis, la legislación libre de humo se asoció con reducciones significativas en la morbilidad y mortalidad relacionadas con  enfermedad del sistema respiratorio (ESR), enfermedad cardiovascular (ECV) y resultados perinatales. Estos hallazgos respaldan la necesidad de acelerar la implementación de leyes libres de humo para proteger a las poblaciones contra los daños relacionados con el tabaquismo. JAMA Netw Open 3 de julio de 2023

Eficacia del rastreo de cáncer de pulmón en poblaciones seleccionadas

13 septiembre 2021

Los resultados del estudio británico UKLS muestran reducción de la mortalidad por cáncer de pulmón a partir del rastreo en pacientes de alto riesgo con una única tomografía computada de baja dosis. Un metaanálisis de nueve ensayos aleatorios proporciona un apoyo inequívoco para la detección del cáncer de pulmón en grupos de riesgo identificados. The Lancet Regional Health Europe, 11 de septiembre de 2021.

Descenso sostenido de la mortalidad por cáncer de pulmón en EEUU

13 agosto 2020

La mejora se debe a una disminución de la incidencia de todos los tipos histológicos junto con un aumento en la sobrevida de los cánceres de células no pequeñas, atribuido a ls nuevas terapias dirigidas. New England Journal of Medicine, 13 de agosto de 2020.

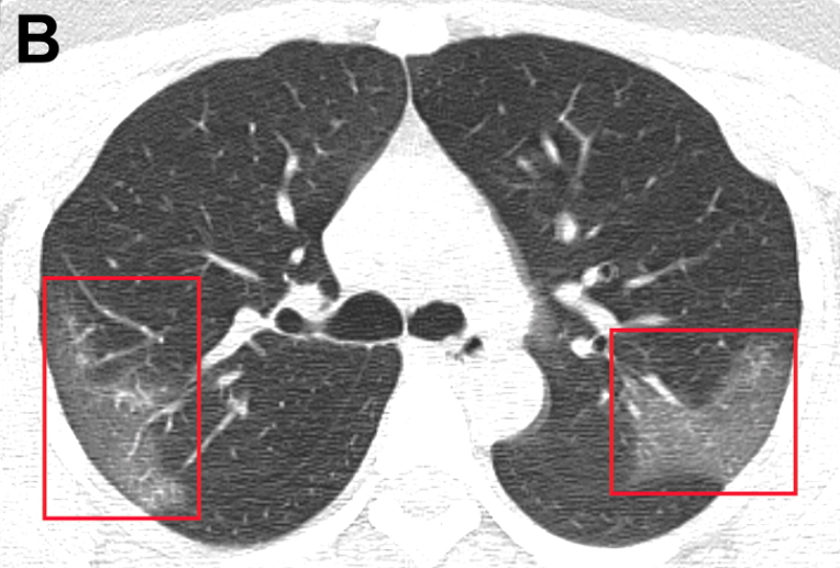
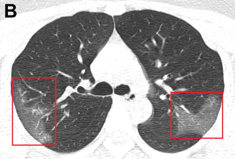
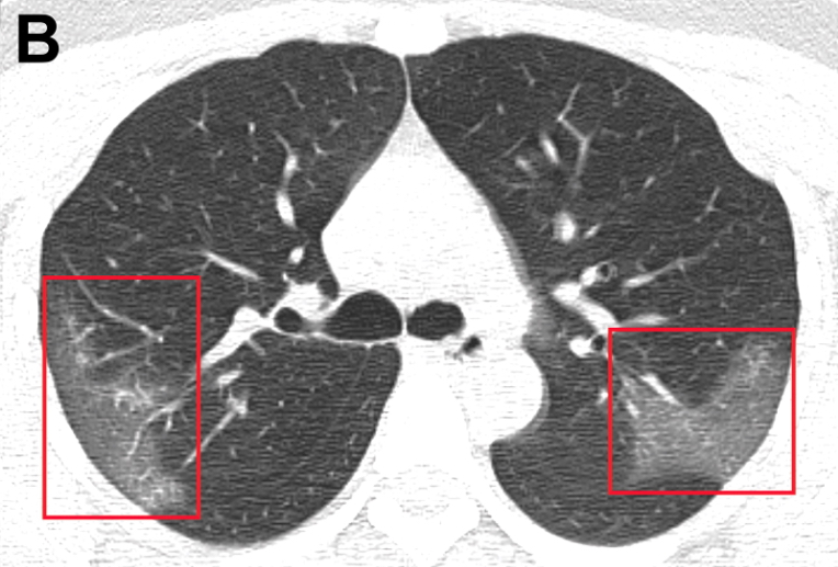
Características clínicas de los pacientes internados con neumonía por 2019-nCoV

10 febrero 2020

Cuadro febril con fatiga y tos seca, evoluciona a disnea en 5 días; presenta linfopenia, LDH elevada y tiempo de protrombina prolongado; tomografía con opacidad bilateral en vidrio esmerilado. El 26% requirió cuidados intensivo y el 4,3% falleció. JAMA, 7 de febrero de 2020

Categorias

Etiquetas