Farmacología

Cómo, cuándo y por qué suspender los fármacos antirresortivos en la osteoporosis

09 octubre 2025

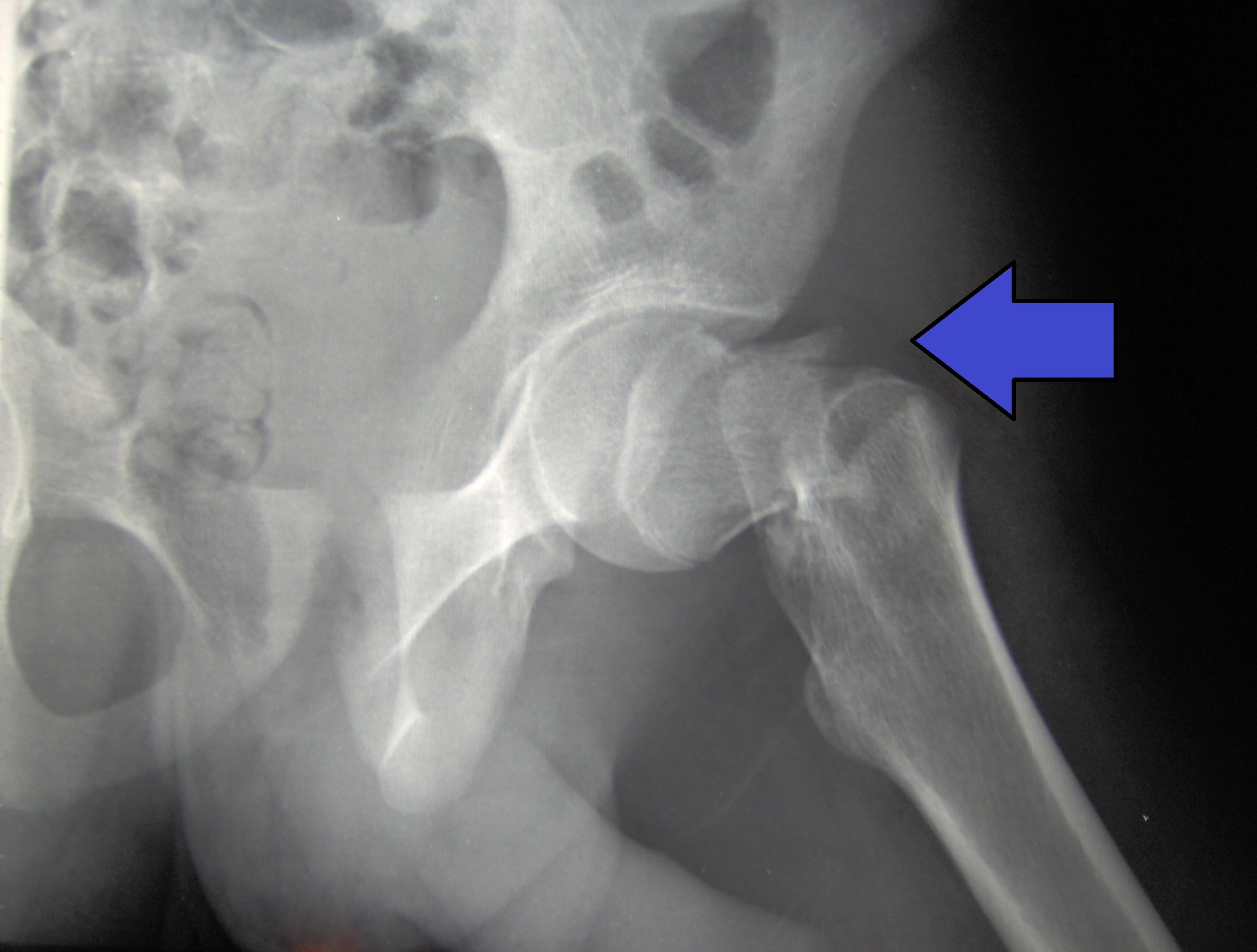
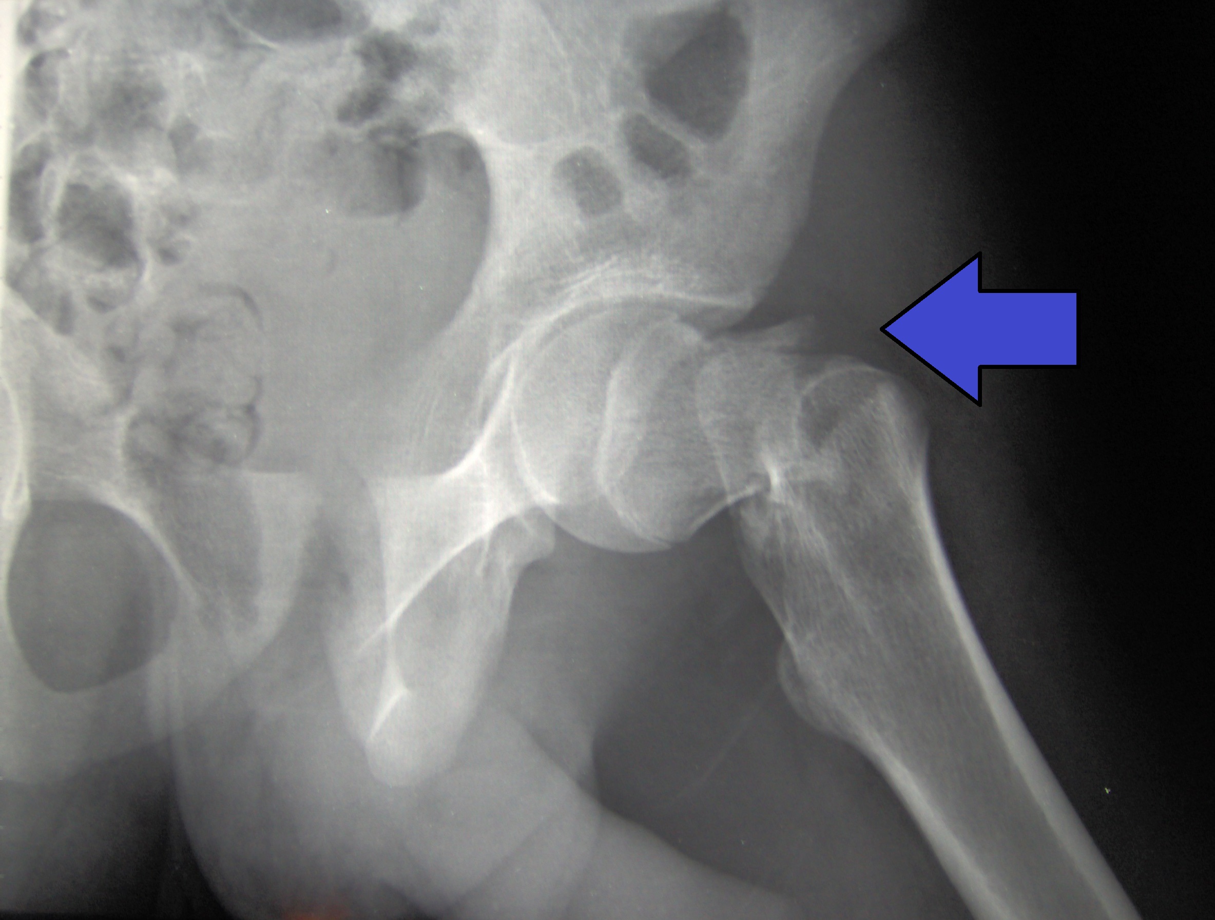
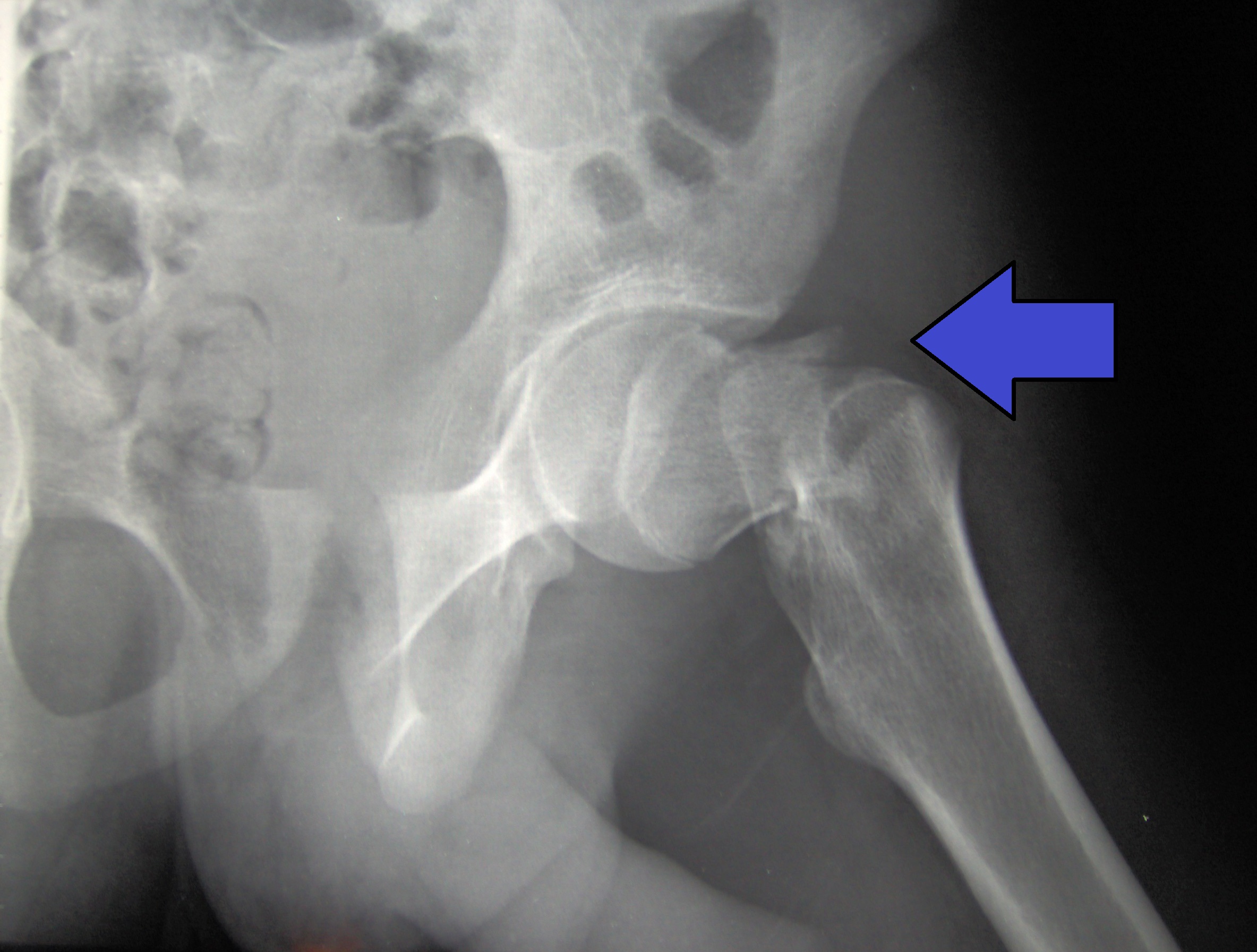
Existe controversia sobre cómo, cuándo y por qué suspender potencialmente estos agentes. Analizamos la interrupción permanente y temporal del tratamiento a largo plazo con bifosfonatos y denosumab. Nos centramos en los motivos y el momento de la interrupción, así como en las estrategias para mitigar el riesgo futuro de fracturas.  Arthritis Rheumatol,  2025

Interrupción de la terapia hormonal menopáusica y riesgo de fractura: estudios de casos y controles anidados

24 julio 2025

La relación entre suspensión del tratamiento hormonal menopáusico y el riesgo de fracturas es compleja: tras la interrupción de la terapia hormonal aumenta considerablemente, generalmente por encima de los niveles de mujeres comparables que nunca la han utilizado, y luego aumenta con menor rapidez en comparación con las mujeres que nunca la han utilizado, para luego reducirse notablemente en la edad avanzada. The Lancet Healthy Longevity, 23 de julio de 2025.

Interrupción del tratamiento modificador de la enfermedad de primera línea en pacientes con esclerosis múltiple estable

18 diciembre 2024

En este ensayo clínico aleatorizado de pacientes con esclerosis múltiple (EM) estable durante más de 5 años, la interrupción de la terapia farmacológica de primera línea puede provocar la recurrencia de la actividad de la enfermedad. Aunque esta cohorte de estudio fue relativamente pequeña, la recurrencia de la inflamación en el grupo de interrupción fue significativamente mayor que en el grupo de continuación y también mayor que en el ensayo DISCOMS publicado anteriormente, que solo incluyó a personas de 55 años o más. JAMA Neurology, 9 de diciembre de 2024.

Incidencia de síntomas de interrupción de antidepresivos: una revisión sistemática y metanálisis

07 junio 2024

Considerando los efectos no específicos, que se evidencian en la suspensión del tratamiento en los grupos de placebo, la incidencia de síntomas de interrupción de antidepresivos es aproximadamente del 15%, afectando a uno de cada seis a siete pacientes que interrumpen su medicación. JAMA Psychiatry, 5 de junio de 2024.

Qué ayuda y qué dificulta la deprescripción de los antidepresivos? Análisis cualitativo de las experiencias y expectativas de los pacientes.

05 junio 2024

Los pacientes prefieren suspender los antidepresivos dentro de marcos estructurados que brinden información y apoyo. Los facilitadores y barreras identificados pueden ayudar a optimizar el uso apropiado y la interrupción de los antidepresivos en la práctica habitual. Parece especialmente importante promover expectativas funcionales y especificar enfoques individualizados para minimizar las expectativas disfuncionales, adaptados a las experiencias previas de los pacientes. Br J Gen Pract., 28 de mayo de 2024

Categorias

Etiquetas