Farmacología

Eficacia de la vacuna antineumocócica 23-valente sobre la enfermedad neumocócica invasiva de 2000-17 en ≥65 años en Inglaterra y Gales

07 enero 2019

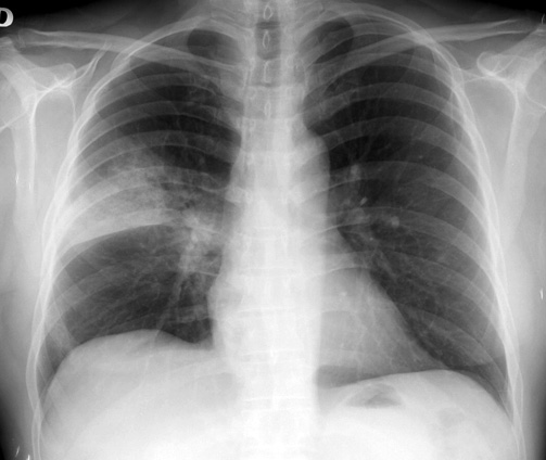
EClinicalMedicine, 1 de enero de 2019 La vacuna neumocócica polisacárida 23-valente ofrece protección moderada a corto plazo contra la enfermedad neumocócica invasiva (ENI) en adultos mayores. Los serotipos PPV23 comprenden una proporción cada vez mayor de casos de ENI en adultos mayores debido a la sustitución de serotipos después del uso rutinario de vacunas conjugadas neumocócicas en niños.

Efectividad de la vacuna antineumocóccica 23-valente en mayores de 65 años

24 enero 2017

La vacuna redujo en un 33% las neumonías por serotipos incluidos en la vacuna, y en un 27% el total de neumonías por neumococo en esta población. Lancet Infectious Diseases, 23 de enero de 2017

Categorias

Etiquetas