Farmacología
Aspirina en prevención primaria: una comparación de los estudios contemporáneos y los antiguos
                    11 diciembre 2019
                
            
            La aspirina ya no debe recomendarse para la prevención primaria porque los riesgos compensan o superan los beneficios. Family Practice, noviembre de 2019
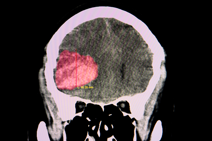
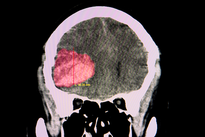
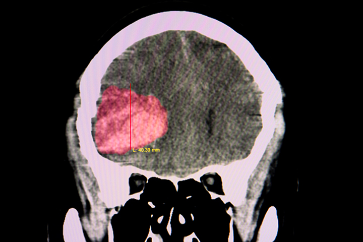
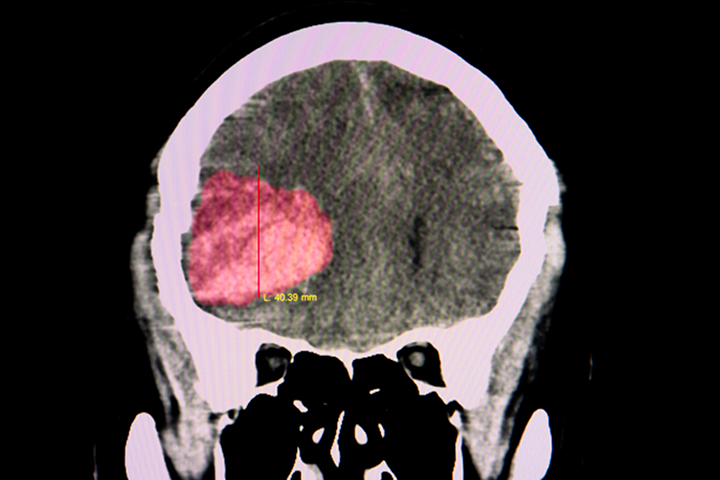
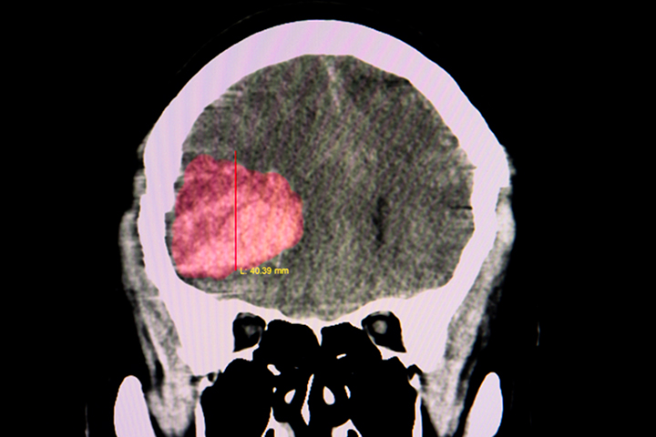
Terapia antiplaquetaria después de un accidente cerebrovascular por hemorragia intracerebral
                    28 mayo 2019
                
            
            