Farmacología
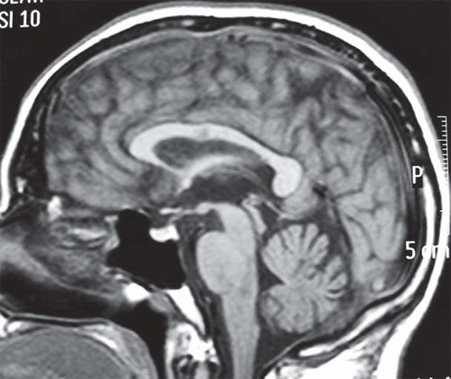
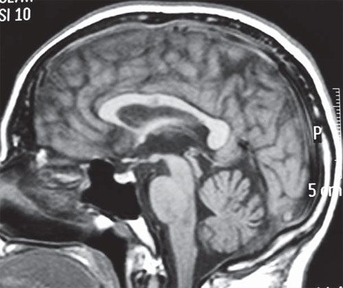
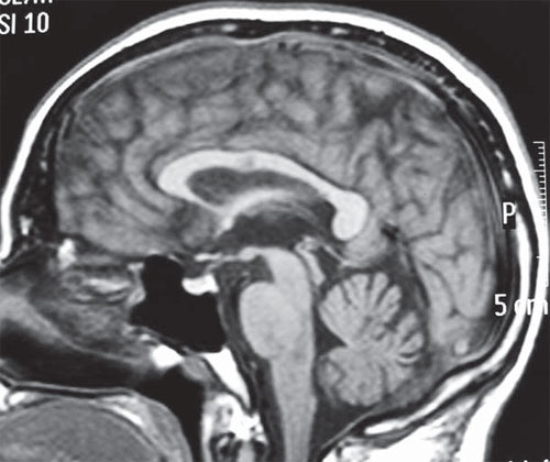
Fenitoína: los niveles séricos elevados pueden producir atrofia cerebelosa
                    02 agosto 2016
                
            
            EMC, 1º de agosto de 2016
Categorias
- Información de Interes
 - Enfermedades infecciosas
 - Coronavirus
 - Cardiología
 - CIMEFF Centro de Información de Medicamentos Fundación Femeba
 - Alertas de Medicamentos
 - Salud Pública
 - Endocrinología
 - Oncología
 - Psiquiatría / Psicología
 - Neurología
 - Pediatría
 - Seguridad del paciente
 - Políticas de medicamentos
 - Gerontología
 - Nutrición
 - Ejercicio profesional
 - Uso Racional
 - Obstetricia
 - Ginecología
 - Neumonología
 - Gastroenterología
 - Investigación
 - Hematología
 - Dolor
 - Nefrología
 - Reumatología
 - Cirugía
 - Traumatología
 - Alertas
 - Medicina general
 - Cuidados Intensivos
 - Políticas de medicamentos
 - Urología
 - Etica e investigación
 - Dermatología
 - Folia DOC
 - Hepatología
 - Salud Pública
 - Infectología
 - Coronavirus
 - Cuidado Paliativo
 - Gripe A
 - Medicamentos Y Seguridad
 - Salud_ambiental
 - Prescripcion
 - Otorrinolaringología
 - Oftalmología
 - DENGUE
 - Alergia e inmunología
 - Virus del ebola
 - Emergencia
 - Tabaco
 - Inteligencia Artificial
 - Industría farmacéutica
 - Odontología
 - Legislacion
 - Toxicología
 - Psicofármacos
 - Cannabis Medicinal
 - Educación
 - Novedades
 - Hipertensión
 - Genética
 - Cardiología
 - Calidad
 - Farmacología
 - Documentos_de_interes
 - Remediar
 - Complementaria
 - Informática
 - Curso Act Comunidad
 - Imágenes
 - Enlaces_de_interes
 - corona
 - Anestesiología
 - Economía
 - Principal
 - CIMEFF Centro de Información de Medicamentos Fundación Femeba
 - COVID-19 prolongado
 - Agrotoxicos
 - Informacion_al_publico
 - Boletines
 - Cardiol
 - Calendario nacional de Vacunacion
 - Boletines
 - ANMAT farmacovigilancia. Ultimas disposiciones
 - Farmacia
 - Informes
 - Salud de la Mujer
 - Material de cursos
 - endocrino
 - daralutamida
 - Complicaciones post-internación
 - CIMEFF Centro de Información de Medicamentos Fundación Femeba
 - TICs
 - apalutamida
 - FTN Formulario Terapeutico Nacional
 - enzalutamida
 - Consultas de Bioética
 - Telemedicina