Farmacología

Tamsulosina en el cólico ureteral

20 septiembre 2016

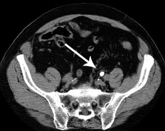
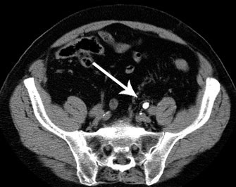
La revisión muestra que favorece la eliminación de cálculos de entre 5 y 10 mm de diámetro. Annals of Emergency Medicine, 8 de septiembre de 2016

Categorias

Etiquetas