Farmacología
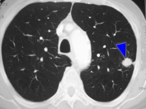
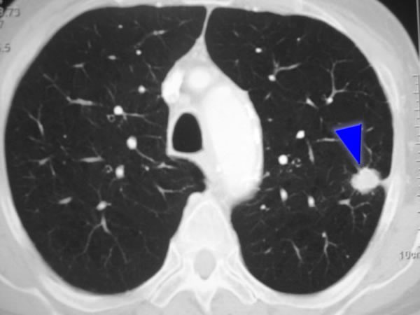
Broncoscopia navegacional o biopsia con aguja transtorácica para nódulos pulmonares
19 mayo 2025
La precisión diagnóstica de la broncoscopia con navegación no fue inferior a la de la biopsia transtorácica con aguja en pacientes con nódulos pulmonares periféricos de 10 a 30 mm. Se presentó neumotórax en el 3,3% de los pacientes del grupo de broncoscopia con navegación y en el 28,3% del grupo de biopsia transtorácica con aguja. New England Journal of Medicine, 18 de mayo de 2025.
Categorias
- Información de Interes
- Enfermedades infecciosas
- Coronavirus
- Cardiología
- CIMEFF Centro de Información de Medicamentos Fundación Femeba
- Salud Pública
- Alertas de Medicamentos
- Endocrinología
- Oncología
- Psiquiatría / Psicología
- Neurología
- Pediatría
- Seguridad del paciente
- Políticas de medicamentos
- Nutrición
- Gerontología
- Ejercicio profesional
- Uso Racional
- Obstetricia
- Ginecología
- Neumonología
- Gastroenterología
- Investigación
- Hematología
- Dolor
- Nefrología
- Reumatología
- Cirugía
- Traumatología
- Alertas
- Medicina general
- Cuidados Intensivos
- Políticas de medicamentos
- Urología
- Etica e investigación
- Dermatología
- Folia DOC
- Hepatología
- Salud Pública
- Infectología
- Coronavirus
- Cuidado Paliativo
- Gripe A
- Medicamentos Y Seguridad
- Salud_ambiental
- Prescripcion
- Otorrinolaringología
- Oftalmología
- Alergia e inmunología
- DENGUE
- Inteligencia Artificial
- Virus del ebola
- Emergencia
- Tabaco
- Industría farmacéutica
- Toxicología
- Odontología
- Cannabis Medicinal
- Legislacion
- Educación
- Psicofármacos
- Novedades
- Hipertensión
- Genética
- Cardiología
- Calidad
- Farmacología
- Informática
- Complementaria
- Enlaces_de_interes
- Documentos_de_interes
- Imágenes
- Curso Act Comunidad
- Remediar
- corona
- Anestesiología
- Economía
- Principal
- CIMEFF Centro de Información de Medicamentos Fundación Femeba
- COVID-19 prolongado
- Agrotoxicos
- Informacion_al_publico
- Boletines
- Cardiol
- Calendario nacional de Vacunacion
- Boletines
- ANMAT farmacovigilancia. Ultimas disposiciones
- Farmacia
- Informes
- Salud de la Mujer
- Material de cursos
- endocrino
- daralutamida
- Complicaciones post-internación
- CIMEFF Centro de Información de Medicamentos Fundación Femeba
- TICs
- apalutamida
- FTN Formulario Terapeutico Nacional
- enzalutamida
- Consultas de Bioética
- Telemedicina