Farmacología
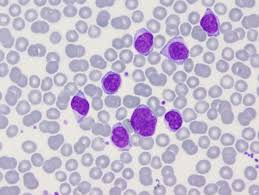
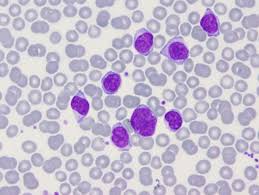
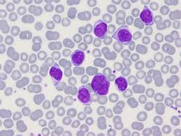
Ibrutinib y rituximab versus inmuno-quimioterapia en pacientes con linfoma de células del manto no tratado
06 octubre 2025
En este ensayo clínico aleatorizado de pacientes con linfoma de células del manto no tratado se demuestra una mejora significativa en la supervivencia libre de progresión con ibrutinib-rituximab en comparación con la inmunoquimioterapia. Este estudio sugiere que ibrutinib-rituximab debería considerarse un nuevo estándar de atención para el tratamiento de primera línea en estos pacientes. The Lancet, 3 de octubre de 2025.
Categorias
- Información de Interes
- Enfermedades infecciosas
- Coronavirus
- Cardiología
- CIMEFF Centro de Información de Medicamentos Fundación Femeba
- Salud Pública
- Alertas de Medicamentos
- Endocrinología
- Oncología
- Psiquiatría / Psicología
- Neurología
- Pediatría
- Seguridad del paciente
- Políticas de medicamentos
- Nutrición
- Gerontología
- Ejercicio profesional
- Uso Racional
- Obstetricia
- Ginecología
- Neumonología
- Gastroenterología
- Investigación
- Hematología
- Dolor
- Nefrología
- Reumatología
- Cirugía
- Traumatología
- Alertas
- Medicina general
- Cuidados Intensivos
- Políticas de medicamentos
- Urología
- Etica e investigación
- Dermatología
- Folia DOC
- Hepatología
- Salud Pública
- Infectología
- Coronavirus
- Cuidado Paliativo
- Gripe A
- Medicamentos Y Seguridad
- Salud_ambiental
- Otorrinolaringología
- Prescripcion
- Oftalmología
- DENGUE
- Alergia e inmunología
- Virus del ebola
- Emergencia
- Inteligencia Artificial
- Tabaco
- Industría farmacéutica
- Toxicología
- Odontología
- Legislacion
- Cannabis Medicinal
- Educación
- Psicofármacos
- Novedades
- Genética
- Hipertensión
- Cardiología
- Calidad
- Farmacología
- Complementaria
- Curso Act Comunidad
- Enlaces_de_interes
- Imágenes
- Documentos_de_interes
- Informática
- Remediar
- corona
- Anestesiología
- Economía
- Principal
- CIMEFF Centro de Información de Medicamentos Fundación Femeba
- COVID-19 prolongado
- Agrotoxicos
- Informacion_al_publico
- Boletines
- Cardiol
- Calendario nacional de Vacunacion
- Boletines
- ANMAT farmacovigilancia. Ultimas disposiciones
- Farmacia
- Informes
- Salud de la Mujer
- Material de cursos
- endocrino
- daralutamida
- Complicaciones post-internación
- CIMEFF Centro de Información de Medicamentos Fundación Femeba
- TICs
- apalutamida
- FTN Formulario Terapeutico Nacional
- enzalutamida
- Consultas de Bioética
- Telemedicina