Farmacología

Viajeros: uso de antibióticos y colonización por enterobacterias multirresistentes

14 febrero 2017

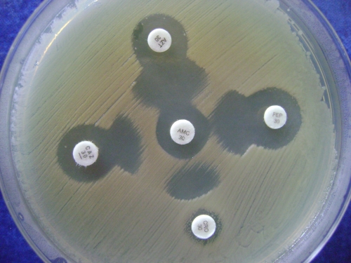
El uso de antimicrobianos favorece la adquisición de enterobacterias con beta lactamasas de espectro ampliado con frecuente co-resistencia frente a otros antibióticos. Travel Medicine and Infectious Disease, 30 de enero de 2017

Categorias

Etiquetas