Farmacología
Uso de antibióticos en infecciones respiratorias altas en adultos mayores
10 mayo 2017
Casi la mitad de los pacientes estudiados recibieron antibióticos para el tratamiento de estas infecciones, habitualmente virales. Annals of Internal Medicine, 9 de mayo de 2017
Cómo mejorar el uso de antibióticos en pacientes internados
08 mayo 2017
Utilizando un enfoque que preserva la autonomía del prescriptor, los investigadores ofrecieron a los médicos diferentes alternativas para mejorar la indicación de antimicrobianos, logrando mejoras sostenidas en las prácticas. JAMA Internal Medicine, 1º de mayo de 2017
Viajeros: uso de antibióticos y colonización por enterobacterias multirresistentes
14 febrero 2017
El uso de antimicrobianos favorece la adquisición de enterobacterias con beta lactamasas de espectro ampliado con frecuente co-resistencia frente a otros antibióticos. Travel Medicine and Infectious Disease, 30 de enero de 2017
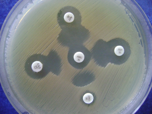
Resistencia antimicrobiana: enterobacterias productoras de carbapenemasas en Europa
31 enero 2017
Un estudio de sensibilidad antibiótica de K. pneumoniae y E. coli en Europa mostró un 37 y 19% de resistencia a carbapenems, respectivamente, con elevada frecuencia de resistencia a antibióticos de última línea. The Lancet Infectious Diseases, febrero de 2017
Es hora de reducir, reemplazar y repensar el uso de antimicrobianos en animales
24 enero 2017