Farmacología

Efecto de la quimioterapia de inducción con paclitaxel, cisplatino y capecitabina frente a cisplatino y fluorouracilo en la supervivencia libre de recaídas en pacientes con carcinoma nasofaríngeo en estadio IVA a IVB

25 marzo 2022

Este ensayo clínico aleatorizado encontró que la quimioterapia de inducción con 2 ciclos de paclitaxel, cisplatino y capecitabina para pacientes con carcinoma nasofaríngeo en estadio IVA a IVB mejoró la supervivencia sin fracaso en comparación con 2 ciclos de cisplatino y fluorouracilo, sin aumento en el perfil de toxicidad. JAMA Oncol. 24 de marzo de 2022

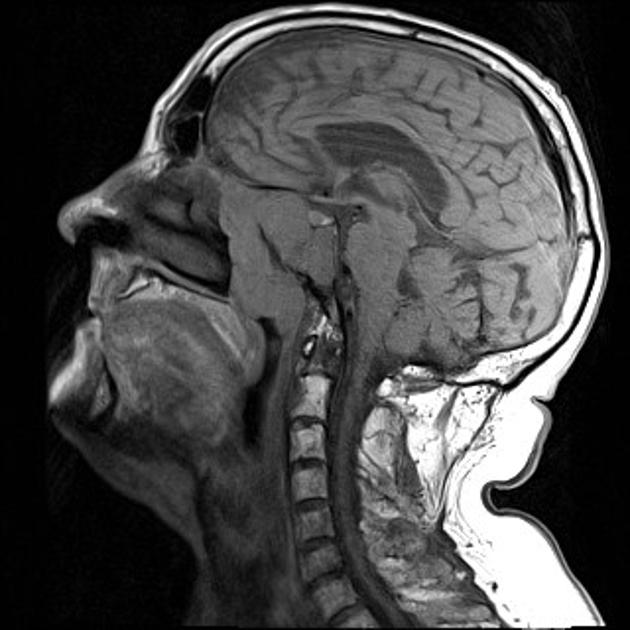
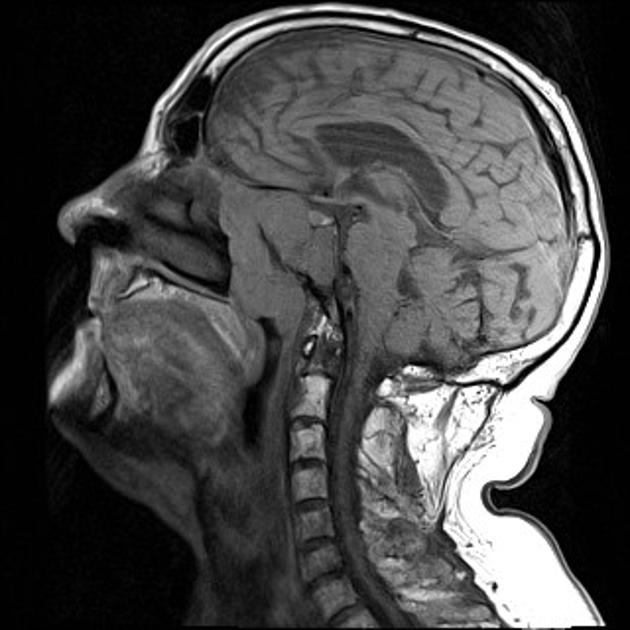
Rastreo de carcinoma nasofaríngeo con un análisis de sangre

15 agosto 2017

La presencia en plasma de ADN del virus Epstein-Barr tuvo una sensibilidad de 97,1% y una especificidad de 98,6% para el diagnóstico de carcinoma nasofaríngeo, realizado por endoscopía y resonancia magnética. New England Journal of Medicine, 10 de agosto de 2017

Categorias

Etiquetas