Farmacología

Craniectomía descompresiva versus craneotomía para el hematoma subdural agudo traumático

14 agosto 2023

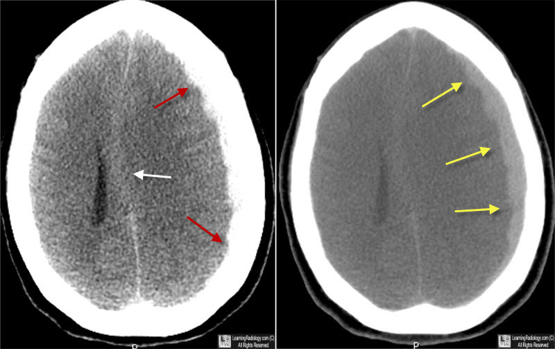
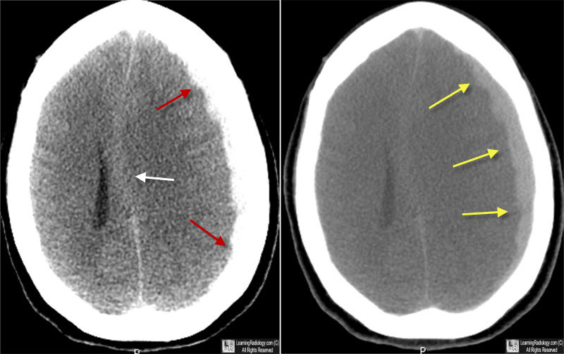
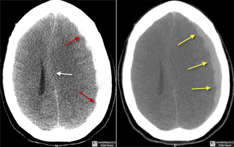
Encontramos una variación sustancial entre centros en el empleo de la craniectomía descompresiva (CD) versus craneotomía para el hematoma subdural agudo traumático. Esta variación en la estrategia de tratamiento no resultó en un resultado funcional diferente. Estos hallazgos sugieren que la CD primaria debe restringirse a pacientes recuperables en los que no es posible el reemplazo inmediato del colgajo óseo debido a la inflamación cerebral intraoperatoria. eClinicalMedicine, 9 de agosto de 2023.

Ensayo clínico de craniectomía descompresiva en traumatismo craneal

08 septiembre 2016

En pacientes con hipertensión endocraneal post-traumática refractaria, la cirugía redujo la mortalidad pero aumentó las tasas de estado vegetativo y de discapacidad severa. New England Journal of Medicine, 7 de septiembre de 2016

Categorias

Etiquetas