Farmacología

Profilaxis en viajes internacionales

01 agosto 2018

INFAC Volumen 26 • Nº 5 • 2018Un elevado y cada vez mayor número de personas realiza viajes internacionales, ya sea por motivos profesionales, sociales, de ocio o con fines humanitarios. Como consecuencia, los viajeros se exponen a una variedad de riesgos sanitarios en entornos no habituales, que pueden minimizarse adoptando medidas de prevención eficaces

Viajeros: uso de antibióticos y colonización por enterobacterias multirresistentes

14 febrero 2017

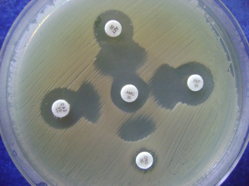
El uso de antimicrobianos favorece la adquisición de enterobacterias con beta lactamasas de espectro ampliado con frecuente co-resistencia frente a otros antibióticos. Travel Medicine and Infectious Disease, 30 de enero de 2017

Categorias

Etiquetas