Farmacología

Enfermedad de los vasos cerebrales pequeños en la mediana edad y función cognitiva en etapas posteriores de la vida

20 enero 2025

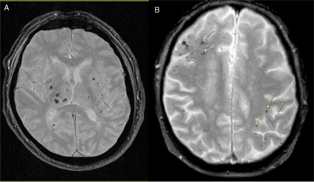
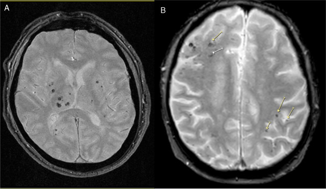
La presencia de enfermedad de vasos cerebrales pequeños en la resonancia magnética de adultos asintomáticos se asoció de manera independiente con un deterioro del funcionamiento ejecutivo durante un período de seguimiento de 8 años en esta población general coreana de edad mediana a avanzada. The Lancet Regional Health Western Pacific, febrero de 2025.

¿Se pueden atribuir los síntomas neuropsiquiátricos a la enfermedad de pequeños vasos cerebrales?

03 febrero 2021

Esta investigación evaluó las consecuencias cognitivas y neuropsiquiátricas de la enfermedad cerebrovascular de vasos pequeños, encontrando que apatía, fatiga y delirio se asociaron con una mayor carga de daño vascular, mientras que las quejas cognitivas subjetivas no lo hicieron. The Lancet Psychiatry, 1º de febrero de 021.

Categorias

Etiquetas