Farmacología

Interpretación de la espirometría asistida por IA en atención primaria: un ensayo controlado aleatorizado

04 agosto 2025

En el personal sanitario de atención primaria, el uso complementario de software de apoyo a la toma de decisiones sobre espirometría con IA mejoró la predicción del diagnóstico, lo que podría ayudar a abordar la interpretación deficiente de la espirometría en atención primaria. New England Journal of Medicine AI, julio de 2025.

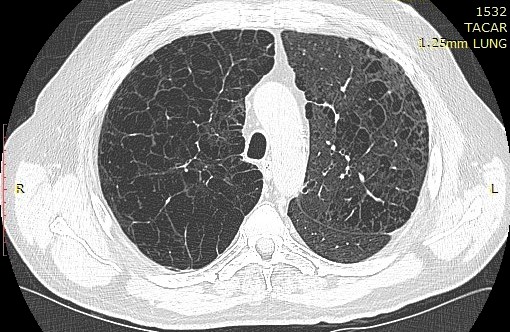
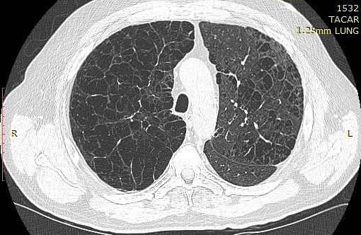
Presencia de enfisema por tomografía computada con espirometría normal

21 julio 2022

El enfisema a menudo está presente antes de que los resultados de la espirometría se vuelvan anormales, particularmente entre los hombres negros. Confiar únicamente en la espirometría para diferenciar la salud pulmonar de la enfermedad pulmonar puede resultar en un insuficiente reconocimiento del deterioro de la salud respiratoria. Annals of Internal Medicine, 19 de julio de 2022.

Categorias

Etiquetas