Farmacología

Densitometría ósea: poco cumplimiento de las recomendaciones

06 diciembre 2016

En este estudio argentino, la mitad de las densitometrías se pidieron en mujeres que no cumplían los criterios recomendados de edad o de riesgo aumentado para justificar el rastreo de osteoporosis. Salud Colectiva, octubre de 2016

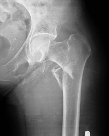
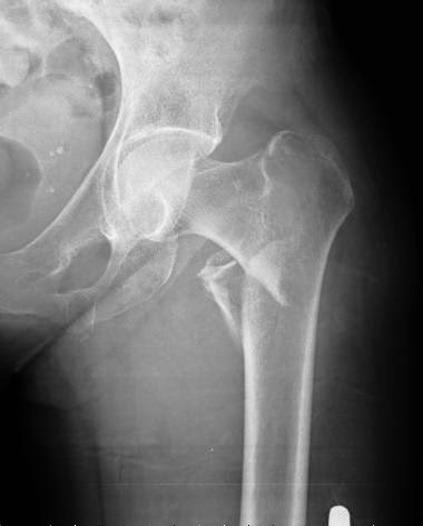
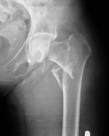
Osteoporosis: umbrales de intervención adaptados a cada país

08 septiembre 2016

Una revisión sistemática de los umbrales de intervención basados en la herramienta FRAX para la estimación del riesgo de fractura. Archives of Osteoporosis, 27 de julio de 2016

Categorias

Etiquetas