Farmacología

Quimioterapia con o sin decorticación con pleurectomía extendida para el mesotelioma

13 mayo 2024

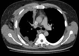
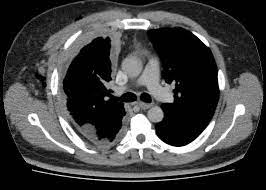
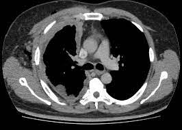
En pacientes con con mesotelioma pleural resecable la quimioterapia asociada con una decorticación con pleurectomía extendida se asoció con una peor supervivencia a 2 años y eventos adversos más graves que la quimioterapia sola. The Lancet Respiratory Medicine 10 de mayo de 2024.

Pembrolizumab agregado a la quimioterapia en el mesotelioma pleural avanzado

06 noviembre 2023

En pacientes con mesotelioma pleural avanzado, la adición de pembrolizumab a la quimioterapia estándar con platino y pemetrexed fue bien tolerada y resultó en un aumento estadísticamente significativo de algo más de un mes en la mediana de sobrevida. Se plantea como una opción terapéutica en esta enfermedad de difícil tratamiento. The Lancet, 3 de noviembre de 2023.

Categorias

Etiquetas