Farmacología

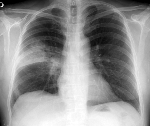
Neumonías adquiridas en la comunidad en pacientes con enfermedad pulmonar obstructiva crónica tratados con corticoides inhalados u otros broncodilatadores. Estudio PNEUMOCORT

18 abril 2018

Aten Primaria. 2018. No hubo diferencias entre cohortes en el riesgo de neumonía adquirida en la comunidad (NAC) ni exacerbaciones graves. Las exacerbaciones leves fueron superiores en el grupo corticoides inhalados (CI). Tanto NAC como exacerbaciones graves fueron más frecuentes en pacientes con EPOC grave y en pacientes tratados con dosis altas de CI.

IBP y neumonía adquirida en la comunidad: ¿hay una relación causal?

17 noviembre 2016

El uso de los inhibidores de la bomba de protones (IBP) se asocia a un aumento de neumonías en pacientes ambulatorios, pero el riesgo podría explicarse por factores de confusión. BMJ, 15 de noviembre de 2016

Neumonía adquirida en la comunidad: actualización

21 septiembre 2016

Boletín INFAC, Información farmacoterapéutica de la Comarca, vol 24 nº 5, 2016

Categorias

Etiquetas