Farmacología

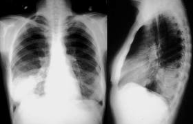
Relación entre los resultados de la radiografía de tórax y el inicio del tratamiento antibiótico en el tratamiento de la neumonía adquirida en la comunidad por médicos generales

04 diciembre 2024

En los pacientes con sospecha de neumonía adquirida en la comunidad (NAC), los médicos de cabecera tuvieron sistemáticamente en cuenta los resultados de las pruebas de respuesta positiva para iniciar el tratamiento antibiótico y tuvieron mucho menos en cuenta las pruebas de respuesta negativa. Estos resultados justifican la aclaración de qué se debe hacer en los casos de sospecha clínica de NAC sin confirmación radiológica. The Annals of Family Medicine, noviembre de 2024,

Efecto de la dosis de amoxicilina y la duración del tratamiento sobre la necesidad de retratamiento con antibióticos en niños con neumonía adquirida en la comunidad. Ensayo CAP-IT

03 noviembre 2021

Entre los niños con neumonía adquirida en la comunidad dados de alta de un departamento de emergencias, una unidad de observación o una sala de hospitalización, el tratamiento ambulatorio adicional con amoxicilina oral a una dosis de 35 a 50 mg / kg por día no fue inferior a una dosis de 70 a 90 mg / kg por día y 3 días no fue inferior a 7 días con respecto a la necesidad de un retratamiento antibiótico posterior. JAMA, 2 de noviembre de 2021

Categorias

Etiquetas