Farmacología

Imágenes por resonancia magnética en la detección del cáncer de próstata:  revisión sistemática y metanálisis

07 mayo 2024

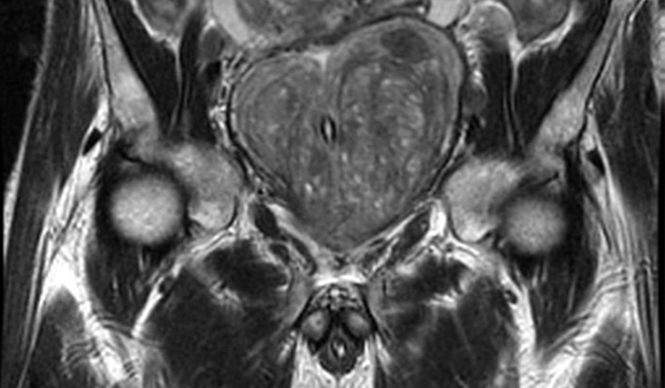
Los resultados de esta revisión sistemática y metanálisis sugieren que la integración de la resonancia magnética en las vías de detección del cáncer de próstata se asocia con un número reducido de biopsias innecesarias y un sobrediagnóstico de cáncer de próstata insignificante, al tiempo que se mantiene la detección de cáncer de próstata clínicamente significativo en comparación con la detección solo con PSA. JAMA Oncol,  5 de abril de 2024

Imágenes por resonancia magnética en los exámenes de detección del cáncer de próstata: una revisión sistemática y metanálisis

15 abril 2024

Los resultados de esta revisión sistemática y metanálisis indican que la integración de la resonancia magnética (RM)  en las vías de cribado del cáncer de próstata (CaP) se asocia con un número reducido de biopsias innecesarias y un sobrediagnóstico del CaP insignificante, al tiempo que se mantiene la detección de CaP clínicamente significativos (csPCa)  en comparación con el cribado solo del PSA. JAMA Oncol 5 de abril de 2024

Categorias

Etiquetas