Farmacología
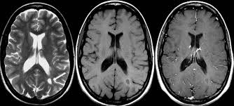
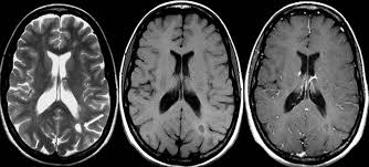
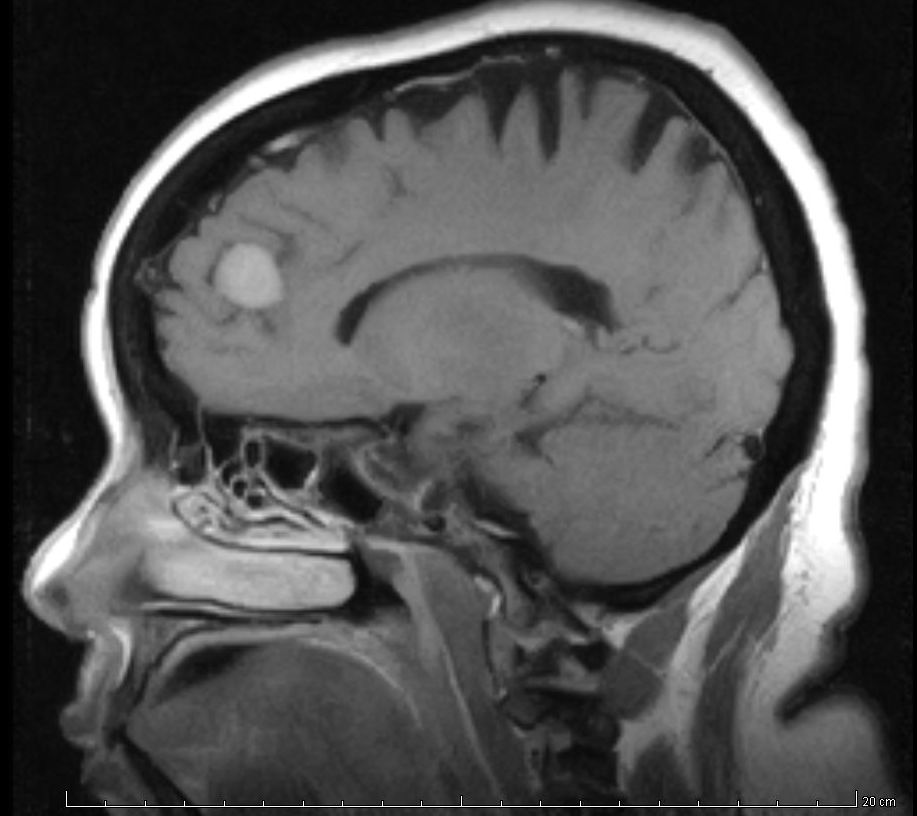
Hallazgos incidentales en resonancia magnética
                    26 noviembre 2018
                
            
            Se revisa la frecuencia y la gravedad de los hallazgos inesperados en resonancias de cerebro, tórax y abdomen. British Medical Journal, 22 de noviembre de 2018
Resonancia magnética en la embolia pulmonar
                    05 junio 2017
                
            
            El método tiene alta especificidad pero no es tan sensible como la angio TC para el estudio de pacientes con sospecha de embolismo pulmonar. Thrombosis Research, junio de 2017
Déficit de atención con hiperactividad: hallazgos en neuroimágenes
                    23 febrero 2017
                
            
            La resonancia magnética muestra reducción del volumen de diversas estructuras cerebrales en niños con la afección, pero no en los pacientes adultos. Podría interpretarse como un retraso en la maduración cerebral. The Lancet Psychiatry, 15 de febrero de 2017
Resonancia magnética en el diagnóstico de malformaciones cerebrales del feto
                    26 diciembre 2016
                
            
            