Farmacología

Riesgo de retinopatía con el uso crónico de hidroxicloroquina

17 enero 2023

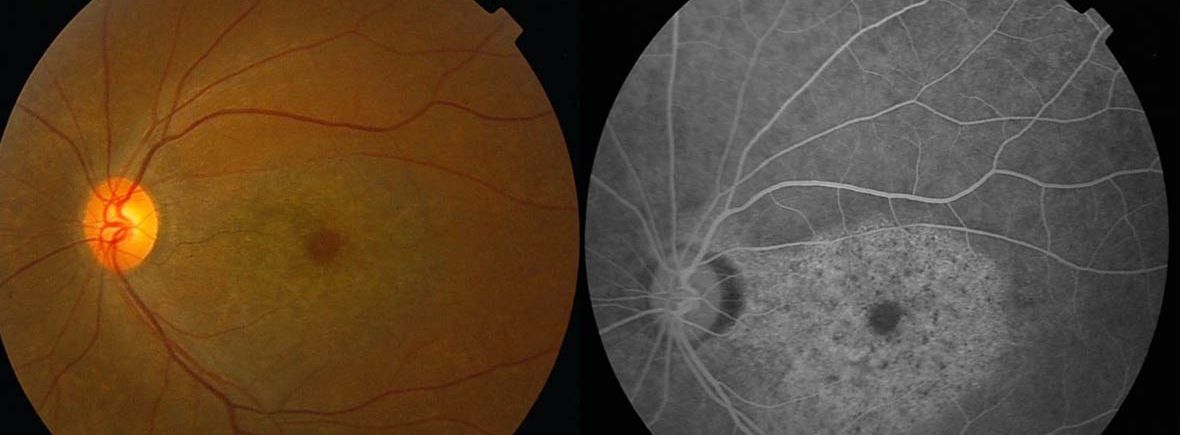
La hidroxicloroquina se indica en forma crónica en pacientes con lupus eritematoso sistémico y otras afecciones inflamatorias. En esta gran cohorte contemporánea con vigilancia activa para la detección de retinopatía se encontró que el riesgo fue del 8,6 % después de 15 años, y la mayoría de los casos fueron leves. La dosis más alta de hidroxicloroquina se asoció con un riesgo progresivamente mayor de retinopatía incidente. Annals of Internal Medicine, 17 de enero de 2023.

Categorias

Etiquetas