Farmacología

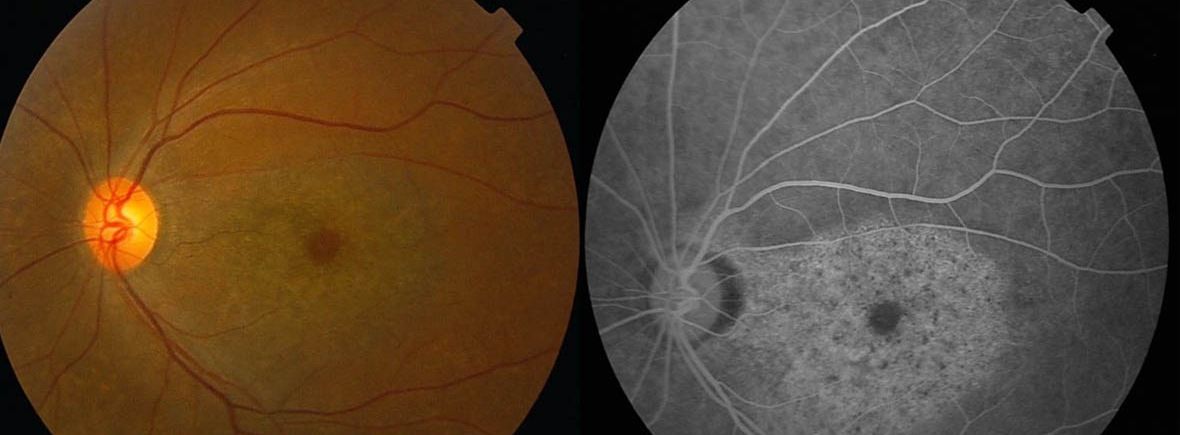
Riesgo de retinopatía con el uso crónico de hidroxicloroquina

17 enero 2023

La hidroxicloroquina se indica en forma crónica en pacientes con lupus eritematoso sistémico y otras afecciones inflamatorias. En esta gran cohorte contemporánea con vigilancia activa para la detección de retinopatía se encontró que el riesgo fue del 8,6 % después de 15 años, y la mayoría de los casos fueron leves. La dosis más alta de hidroxicloroquina se asoció con un riesgo progresivamente mayor de retinopatía incidente. Annals of Internal Medicine, 17 de enero de 2023.

Diagnóstico de enfermedades autoinmunes luego del Covid-19

10 enero 2023

En este estudio de cohorte retrospectiva se halló que el Covid-19 está asociado con diversos grados de riesgo a la aparición posterior de varias enfermedades autoinmunes. Dado el gran tamaño de la muestra y los efectos relativamente modestos, estos hallazgos deberían replicarse en un conjunto de datos independiente. Se necesita más investigación para comprender mejor los mecanismos subyacentes. eClinicalMedicine, 9 de enero de 2023.

Asociación entre el consumo de fármacos y el diagnóstico posterior de lupus eritematoso

07 septiembre 2020

Los hallazgos del estudio sugieren que los médicos deben saber si un nuevo caso de LEC o LES podría ser inducido por fármacos. Además, los resultados destacan que las asociaciones reportadas en la literatura publicada pueden deberse a sesgos de publicación o protopáticos. JAMA Dermatol. 2 de septiembre de 2020.

Categorias

Etiquetas