Farmacología
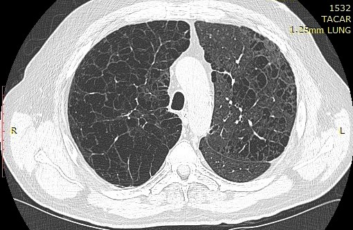
Presencia de enfisema por tomografía computada con espirometría normal
                    21 julio 2022
                
            
            El enfisema a menudo está presente antes de que los resultados de la espirometría se vuelvan anormales, particularmente entre los hombres negros. Confiar únicamente en la espirometría para diferenciar la salud pulmonar de la enfermedad pulmonar puede resultar en un insuficiente reconocimiento del deterioro de la salud respiratoria. Annals of Internal Medicine, 19 de julio de 2022.
Cómo optimizar el rastreo de cáncer de pulmón en los fumadores
                    22 octubre 2019
                
            
            