Farmacología
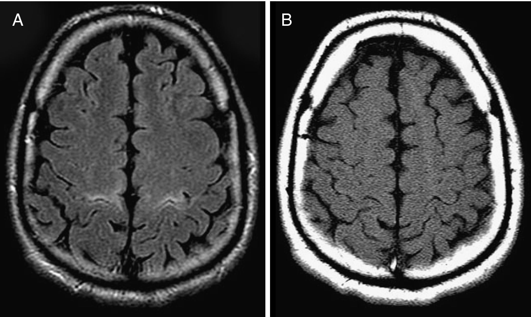
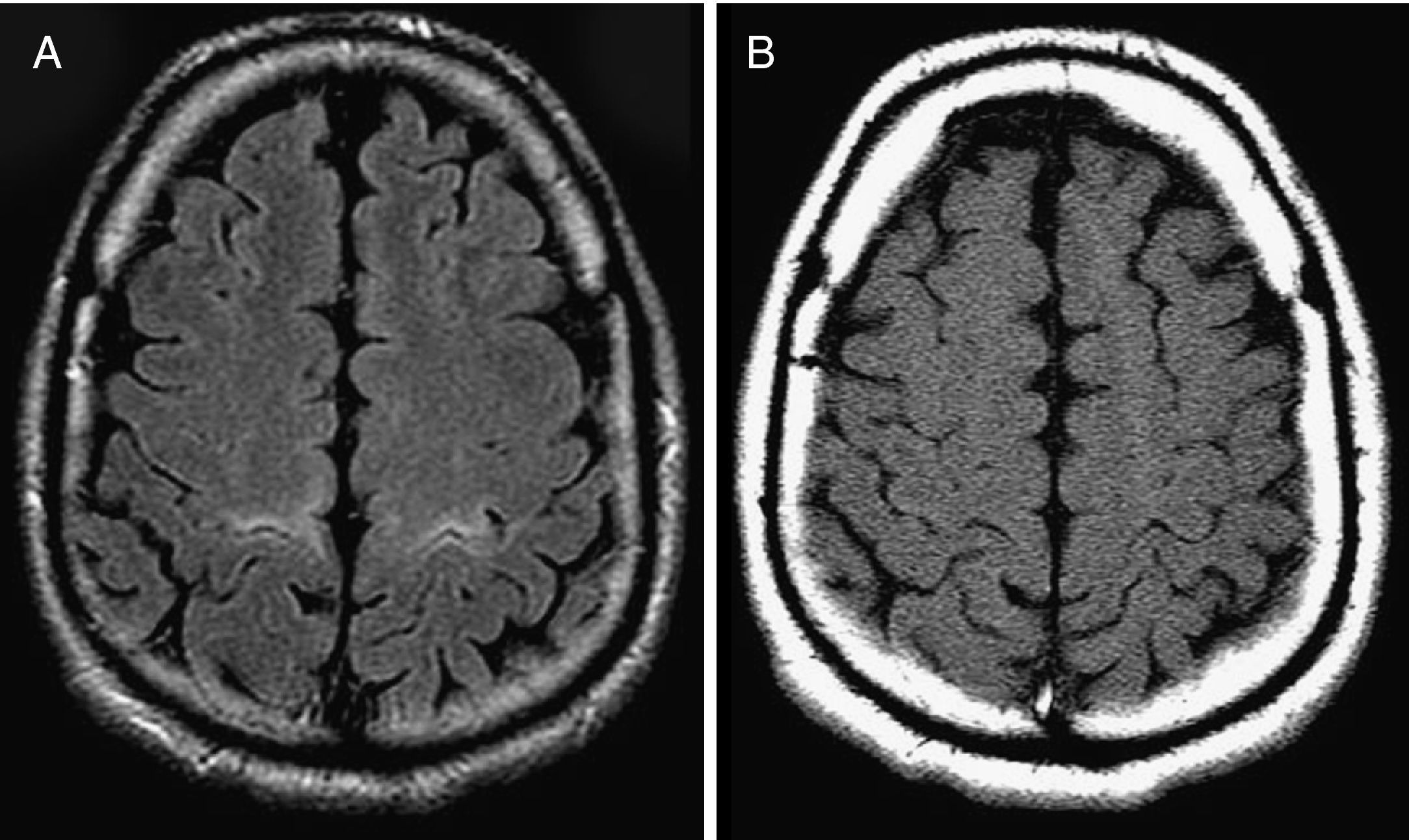
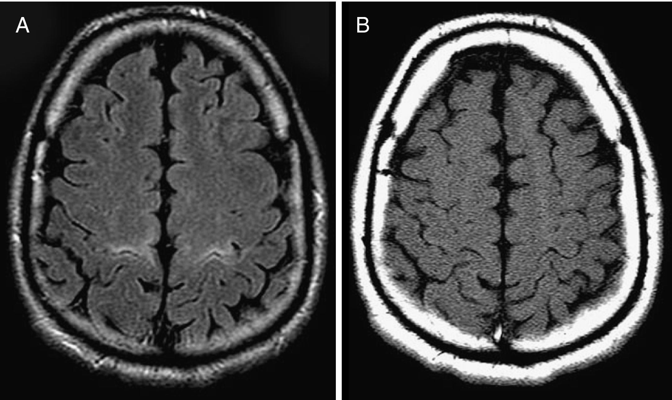
Verdiperstat en la esclerosis lateral amiotrófica. Ensayo aleatorizado de la plataforma HEALEY ALS
                    20 febrero 2025
                
            
            Los resultados demuestran que es poco probable que el tratamiento con verdiperstat altere la progresión de la enfermedad en la esclerosis lateral amiotrófica. JAMA Neurol. 17 de febrero de 2025.
Categorias
- Información de Interes
 - Enfermedades infecciosas
 - Coronavirus
 - Cardiología
 - CIMEFF Centro de Información de Medicamentos Fundación Femeba
 - Alertas de Medicamentos
 - Salud Pública
 - Endocrinología
 - Oncología
 - Psiquiatría / Psicología
 - Neurología
 - Pediatría
 - Seguridad del paciente
 - Políticas de medicamentos
 - Gerontología
 - Nutrición
 - Ejercicio profesional
 - Uso Racional
 - Obstetricia
 - Ginecología
 - Neumonología
 - Gastroenterología
 - Investigación
 - Hematología
 - Dolor
 - Nefrología
 - Reumatología
 - Cirugía
 - Traumatología
 - Alertas
 - Medicina general
 - Cuidados Intensivos
 - Políticas de medicamentos
 - Urología
 - Etica e investigación
 - Dermatología
 - Folia DOC
 - Hepatología
 - Salud Pública
 - Infectología
 - Coronavirus
 - Cuidado Paliativo
 - Gripe A
 - Medicamentos Y Seguridad
 - Salud_ambiental
 - Prescripcion
 - Otorrinolaringología
 - Oftalmología
 - DENGUE
 - Alergia e inmunología
 - Virus del ebola
 - Emergencia
 - Tabaco
 - Inteligencia Artificial
 - Industría farmacéutica
 - Odontología
 - Legislacion
 - Toxicología
 - Psicofármacos
 - Cannabis Medicinal
 - Educación
 - Novedades
 - Hipertensión
 - Genética
 - Cardiología
 - Calidad
 - Farmacología
 - Documentos_de_interes
 - Remediar
 - Complementaria
 - Informática
 - Curso Act Comunidad
 - Imágenes
 - Enlaces_de_interes
 - corona
 - Anestesiología
 - Economía
 - Principal
 - CIMEFF Centro de Información de Medicamentos Fundación Femeba
 - COVID-19 prolongado
 - Agrotoxicos
 - Informacion_al_publico
 - Boletines
 - Cardiol
 - Calendario nacional de Vacunacion
 - Boletines
 - ANMAT farmacovigilancia. Ultimas disposiciones
 - Farmacia
 - Informes
 - Salud de la Mujer
 - Material de cursos
 - endocrino
 - daralutamida
 - Complicaciones post-internación
 - CIMEFF Centro de Información de Medicamentos Fundación Femeba
 - TICs
 - apalutamida
 - FTN Formulario Terapeutico Nacional
 - enzalutamida
 - Consultas de Bioética
 - Telemedicina