Farmacología

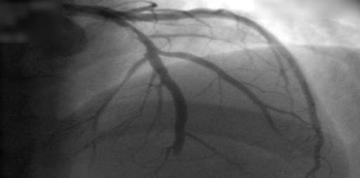
Angiografía vs reserva fraccional de flujo para guiar la intervención coronaria

26 julio 2021

En pacientes con infarto de miocardio con elevación del segmento ST sometidos a revascularización percutánea completa, una estrategia guiada por la rserva fraccional de flujo no tuvo un beneficio significativo sobre una estrategia guiada por angiografía, si bien los intervalos de confianza para la estimación del efecto fueron amplios. New England Journal of Medicine, 22 de julio de 2021.

Alternativas menos invasivas para el diagnóstico de enfermedad coronaria

30 agosto 2016

En pacientes con sospecha de enfermedad coronaria, la evaluación con resonancia magnética o gammagrafía de perfusión miocárdica permite reducir las angiografías innecesarias. JAMA, 29 de agosto de 2016

Categorias

Etiquetas