Farmacología

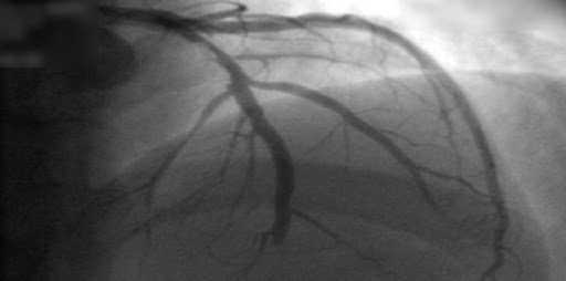
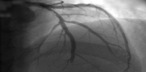
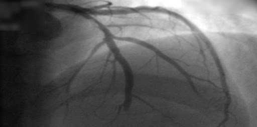
Angiografía vs reserva fraccional de flujo para guiar la intervención coronaria

26 julio 2021

En pacientes con infarto de miocardio con elevación del segmento ST sometidos a revascularización percutánea completa, una estrategia guiada por la rserva fraccional de flujo no tuvo un beneficio significativo sobre una estrategia guiada por angiografía, si bien los intervalos de confianza para la estimación del efecto fueron amplios. New England Journal of Medicine, 22 de julio de 2021.

Infarto de miocardio y riesgo de muerte súbita

04 enero 2017

Cómo identificar rápidamente a las personas con dolor de pecho que tienen mayor riesgo de paro cardíaco antes de llegar al hospital. Circulation, 28 de octubre de 2016

Categorias

Etiquetas