Farmacología

Resincronización y desfibrilación para la insuficiencia cardíaca: resultados alejados

18 enero 2024

En el seguimiento a 13,9 años del ensayo clínico que comparó un desfibrilador automático implantable (DAI) con la terapia de resincronización cardíaca (TRC) en pacientes con insuficiencia cardíaca clase II o III de la NYHA, fracción de eyección menor al 30%  y QRS ancho, se comprombó que se mantenía significativa la reducción inicial de mortalidad asociada a la TRC en comparación con el DAI. New England Journal of Medicine, 18 de enero de 2024.

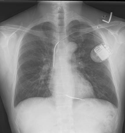
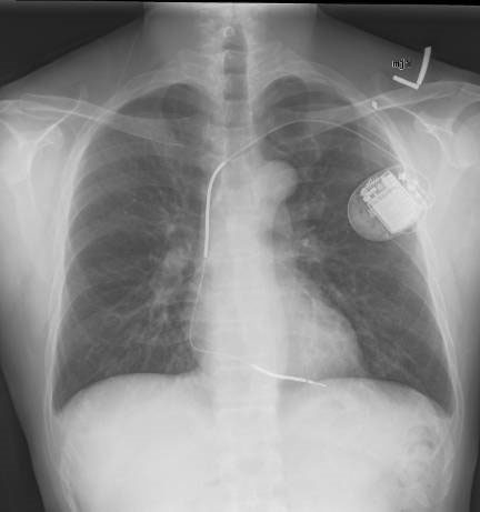
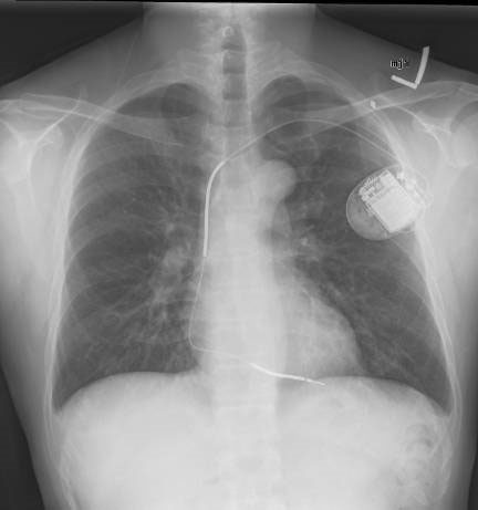
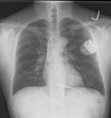
Desfibrilador implantable transvenoso o subcutáneo

06 agosto 2020

En pacientes con indicación de cardioversor desfibrilador implantable pero sin requerimiento de marcapasos, un dispositivo subcutáneo no fue inferior al desfibrilador transvenoso estándar. New England Journal of Medicine, 6 de agosto de 2020.

El cardiodesfibrilador implantable profiláctico no disminuyó la mortalidad en insuficiencia cardíaca sistólica de causa no coronaria

28 agosto 2016

Los pacientes estudiados estaban en clase funcional II o III; el 58% tenía colocado un dispositivo de resincronización cardíaca. New England Journal of Medicine, 27 de agosto de 2016

Categorias

Etiquetas