Farmacología

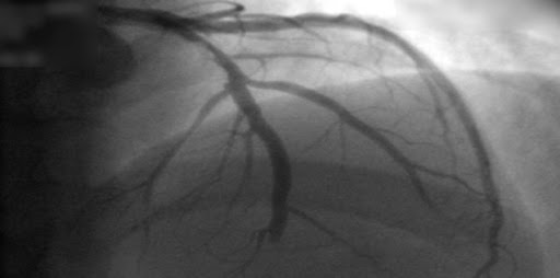
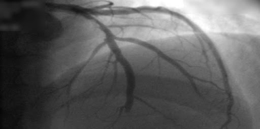
Estudios coronarios en la cardiopatía isquémica estable: ¿TC o cateterismo?

20 octubre 2022

Este estudio no encontró diferencia entre mujeres y varones en el beneficio del uso de la tomografía computarizada (TC) en lugar de la angiografía coronaria invasiva como prueba diagnóstica inicial para el manejo del dolor torácico estable en pacientes con una probabilidad previa a la prueba intermedia de enfermedad arterial coronaria. La TC inicial se asoció con menos complicaciones importantes relacionadas con el procedimiento en las mujeres y una frecuencia más baja del compuesto MACE expandido en los hombres.British Medical Journal, 19 de octubre de 2022.

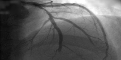
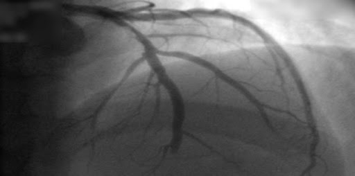
Tomografía computada versus angiografía invasiva en la angina de pecho estable

28 abril 2022

En los pacientes remitidos para cateterismo coronario por dolor torácico estable y con probabilidad intermedia de enfermedad coronaria antes de la prueba, la evaluación inicial por tomografía computada tuvo un riesgo de eventos cardiovasculares mayores similar a los de la evaluación invasiva, pero una menor frecuencia de complicaciones mayores relacionadas con el procedimiento. New England Journal of Medicine, 28 de abril de 2022.

Categorias

Etiquetas