Farmacología

Tratamiento guiado por angiografía coronaria por TC de pacientes con angina de pecho estable: resultados a 10 años

27 enero 2025

El tratamiento guiado por angiografíca coronaria por tomografía computada (ACTC) de los pacientes con dolor torácico estable se asoció con una reducción sostenida de la muerte por enfermedad coronaria o infarto de miocardio no mortal. La identificación de la aterosclerosis coronaria mediante ACTC mejora la prevención de la enfermedad cardiovascular a largo plazo en pacientes con dolor torácico estable. The Lancet, 25 de enero de 2025.

Intervención coronaria percutánea en angina crónica estable: un ensayo clínico doble ciego

21 diciembre 2023

En pacientes con angina estable que recibían poca o ninguna medicación antianginosa y tenían evidencia objetiva de isquemia, la intervención coronaria percutánea resultó en una puntuación de síntomas de angina más baja (una media de 2,7 puntos menos en una escala de 79 puntos) que un procedimiento con placebo, lo que indica un mejor estado de salud con respecto a la angina. New England Journal of Medicine, 21 de diciembre de 2023.

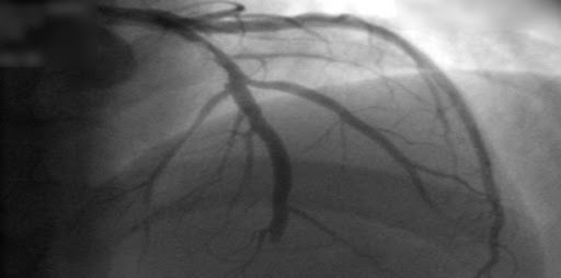
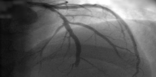
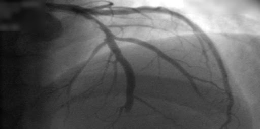
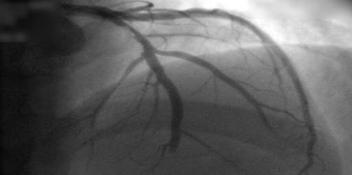
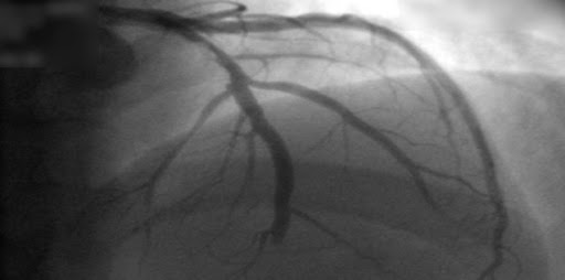
Estudios coronarios en la cardiopatía isquémica estable: ¿TC o cateterismo?

20 octubre 2022

Este estudio no encontró diferencia entre mujeres y varones en el beneficio del uso de la tomografía computarizada (TC) en lugar de la angiografía coronaria invasiva como prueba diagnóstica inicial para el manejo del dolor torácico estable en pacientes con una probabilidad previa a la prueba intermedia de enfermedad arterial coronaria. La TC inicial se asoció con menos complicaciones importantes relacionadas con el procedimiento en las mujeres y una frecuencia más baja del compuesto MACE expandido en los hombres.British Medical Journal, 19 de octubre de 2022.

Categorias

Etiquetas