Farmacología

Drenaje temprano o diferido en la pancreatitis aguda necrotizante

07 octubre 2021

En un ensayo clínico aleatorizado de pacientes con pancreatitis necrotizante infectada, no se encontró reducción de las complicaciones con el drenaje en las primeras 24 horas comparado con la intervención diferida. Los pacientes asignados a la estrategia de drenaje pospuesto tuvieron menos intervenciones invasivas. New England Journal of Medicine, 7 de octubre de 2021.

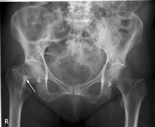
Cirugía de cadera ultrarrápida

02 marzo 2020

En pacientes con fractura de cadera, la cirugía en las primeras seis horas del diagnóstico no obtuvo mejores resultados que la realizada a las 24 hs del mismo. The Lancet, 29 de febrero de 2020.

Categorias

Etiquetas