Farmacología

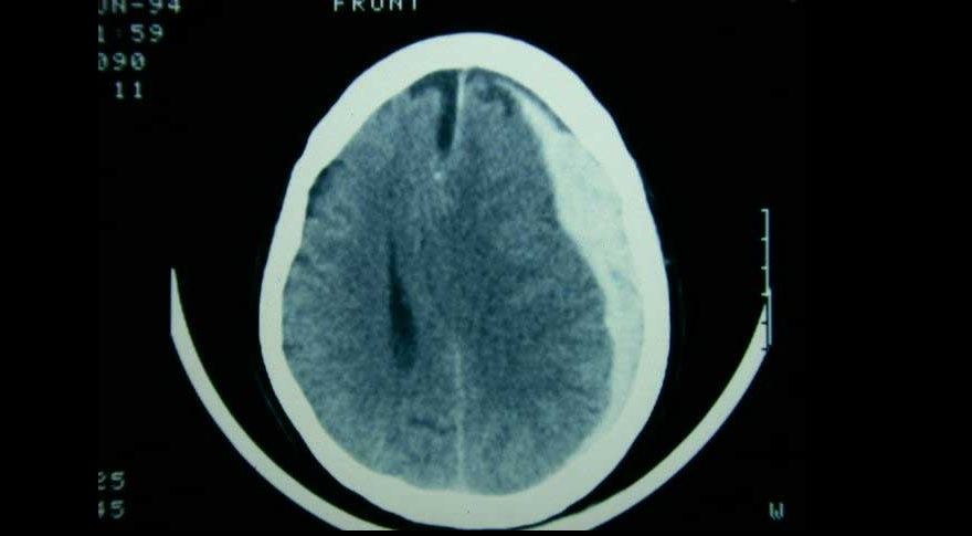
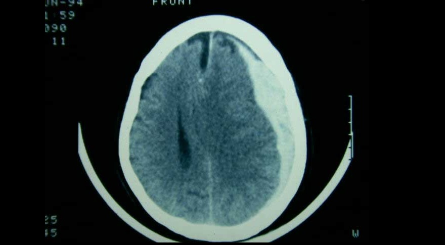
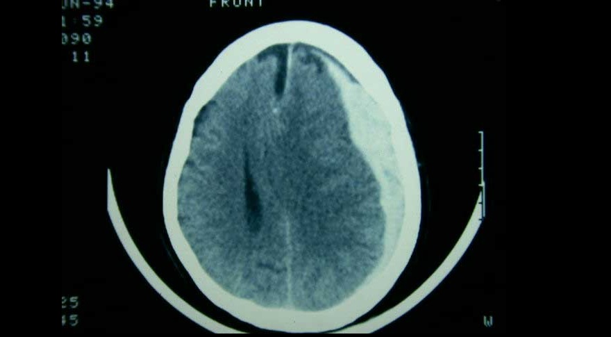
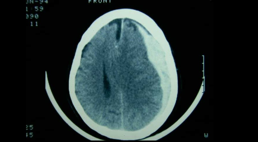
Embolización de la arteria meníngea media en el hematoma subdural subagudo o crónico

21 noviembre 2024

Tres ensayos clínicos exploran la utilidad de la embolización de esta arteria en el manejo del hematoma subdural subagudo o crónico, con miras a reducir la tasa de recurrencias y la necesidad de nuevas intervenciones. New England Journal of Medicine, 20 de noviembre de 2024.

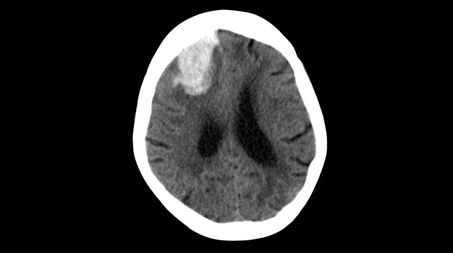
Eliminación temprana mínimamente invasiva de hemorragia intracerebral

11 abril 2024

En los pacientes en quienes la cirugía se pudo realizar dentro de las 24 horas posteriores a una hemorragia intracerebral aguda, la evacuación mínimamente invasiva del hematoma produjo mejores resultados funcionales a los 180 días que el  tratamiento médico basado en guías. El efecto de la cirugía parece atribuirse a la intervención de las hemorragias lobares. New England Journal of Medicine, 10 de abril de 2024.

Evacuación inicial o tratamiento conservador en el hematoma subdural agudo

09 mayo 2022

El tratamiento de pacientes con hematoma subdural agudo difiere según el centro de tratamiento, debido a la variación en el abordaje preferido. Una estrategia de tratamiento que prefirió un enfoque agresivo de evacuación quirúrgica aguda sobre el tratamiento conservador inicial no se asoció con un mejor resultado funcional. The Lancet Neurology, 5 de mayo de 2022.

Drenaje temprano o diferido en la pancreatitis aguda necrotizante

07 octubre 2021

En un ensayo clínico aleatorizado de pacientes con pancreatitis necrotizante infectada, no se encontró reducción de las complicaciones con el drenaje en las primeras 24 horas comparado con la intervención diferida. Los pacientes asignados a la estrategia de drenaje pospuesto tuvieron menos intervenciones invasivas. New England Journal of Medicine, 7 de octubre de 2021.

Cirugía temprana en la pancreatitis crónica dolorosa

13 febrero 2020

Una estrategia de cirugía temprana resultó en mayor alivio del dolor en un seguimiento de 18 meses, en comparación con un enfoque de manejo inicial clínico y endoscópico. JAMA, 21 de enero de 2020

Categorias

Etiquetas