Farmacología
Farmacocinética de los antibióticos en derrames pleurales infectados.
08 julio 2024
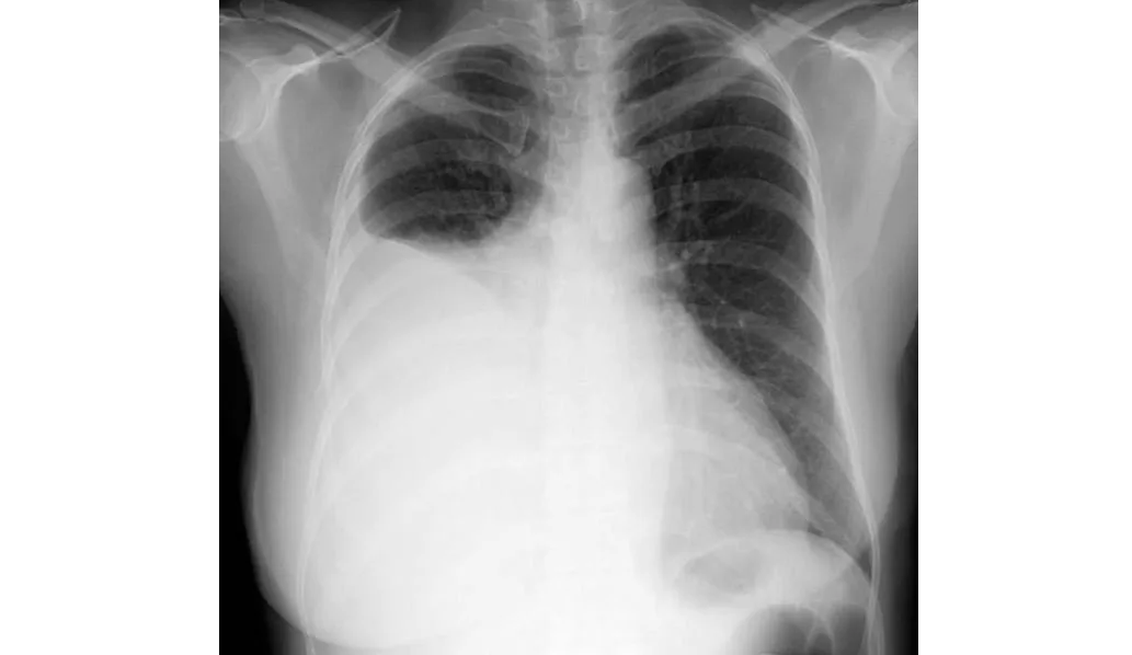
En este estudio sobre farmacocinética de antibióticos realizado en pacientes con derrames pleurales infectados se encontró que los antibióticos de uso común, como amoxicilina, metronidazol, piperacilina-tazobactam y clindamicina, alcanzan niveles en el líquido pleural equivalentes a los de la sangre y por encima de la CIM para las bacterias que se sabe que causan infección pleural. La preocupación sobre la penetración de antibióticos de uso común en el espacio pleural infectado (excepto por la trimetroprima) son infundadas. Thorax, 4 de julio de 2024.
Categorias
- Información de Interes
- Enfermedades infecciosas
- Coronavirus
- Cardiología
- CIMEFF Centro de Información de Medicamentos Fundación Femeba
- Salud Pública
- Alertas de Medicamentos
- Endocrinología
- Oncología
- Psiquiatría / Psicología
- Neurología
- Pediatría
- Seguridad del paciente
- Políticas de medicamentos
- Nutrición
- Gerontología
- Ejercicio profesional
- Uso Racional
- Obstetricia
- Ginecología
- Neumonología
- Gastroenterología
- Investigación
- Hematología
- Dolor
- Nefrología
- Reumatología
- Cirugía
- Traumatología
- Alertas
- Medicina general
- Cuidados Intensivos
- Políticas de medicamentos
- Urología
- Etica e investigación
- Dermatología
- Folia DOC
- Hepatología
- Salud Pública
- Infectología
- Coronavirus
- Cuidado Paliativo
- Gripe A
- Medicamentos Y Seguridad
- Salud_ambiental
- Prescripcion
- Otorrinolaringología
- Oftalmología
- Alergia e inmunología
- DENGUE
- Inteligencia Artificial
- Virus del ebola
- Emergencia
- Tabaco
- Industría farmacéutica
- Toxicología
- Odontología
- Cannabis Medicinal
- Legislacion
- Educación
- Psicofármacos
- Novedades
- Hipertensión
- Genética
- Cardiología
- Calidad
- Farmacología
- Informática
- Complementaria
- Enlaces_de_interes
- Documentos_de_interes
- Imágenes
- Curso Act Comunidad
- Remediar
- corona
- Anestesiología
- Economía
- Principal
- CIMEFF Centro de Información de Medicamentos Fundación Femeba
- COVID-19 prolongado
- Agrotoxicos
- Informacion_al_publico
- Boletines
- Cardiol
- Calendario nacional de Vacunacion
- Boletines
- ANMAT farmacovigilancia. Ultimas disposiciones
- Farmacia
- Informes
- Salud de la Mujer
- Material de cursos
- endocrino
- daralutamida
- Complicaciones post-internación
- CIMEFF Centro de Información de Medicamentos Fundación Femeba
- TICs
- apalutamida
- FTN Formulario Terapeutico Nacional
- enzalutamida
- Consultas de Bioética
- Telemedicina