Farmacología

La OMS advierte de la resistencia generalizada en todo el mundo a antibióticos de uso habitual

15 octubre 2025

Según un nuevo informe de la Organización Mundial de la Salud (OMS) , en 2023 una de cada seis infecciones bacterianas confirmadas en laboratorio que desembocaron en infecciones habituales en las personas eran resistente a los tratamientos con antibióticos. Entre 2018 y 2023, la resistencia a los antibióticos aumentó en más del 40 % de las combinaciones de patógeno-antibiótico monitoreadas, con un incremento anual medio de entre el 5 % y el 15 %. OMS, 13 de octubre de 2025

OMS. Análisis de agentes antibacterianos en desarrollo clínico y preclínico 2025

13 octubre 2025

Publicado por primera vez en 2017, el Análisis de agentes antibacterianos en desarrollo clínico y preclínico: visión general y análisis 2025 de la OMS evalúa si los esfuerzos actuales de I+D están manteniendo el ritmo de la necesidad urgente de nuevos tratamientos contra las bacterias resistentes a los medicamentos más peligrosas, según lo identificado por la OMS. Los datos revelan cómo el desafío global de reducir las muertes e infecciones causadas por bacterias resistentes a los medicamentos no está avanzando según lo previsto. OMS, 2 de octubre de 2025

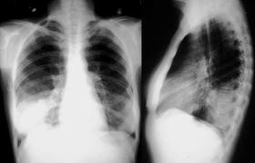
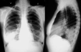
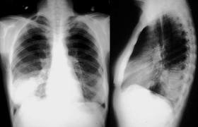
Relación entre los resultados de la radiografía de tórax y el inicio del tratamiento antibiótico en el tratamiento de la neumonía adquirida en la comunidad por médicos generales

04 diciembre 2024

En los pacientes con sospecha de neumonía adquirida en la comunidad (NAC), los médicos de cabecera tuvieron sistemáticamente en cuenta los resultados de las pruebas de respuesta positiva para iniciar el tratamiento antibiótico y tuvieron mucho menos en cuenta las pruebas de respuesta negativa. Estos resultados justifican la aclaración de qué se debe hacer en los casos de sospecha clínica de NAC sin confirmación radiológica. The Annals of Family Medicine, noviembre de 2024,

Efecto de la exposición a antibióticos antes de la concepción sobre la salud reproductiva femenina y los resultados del embarazo

28 noviembre 2024

La exposición a antibióticos antes de la concepción en mujeres aumenta el riesgo de infertilidad, aborto espontáneo y anomalías congénitas. Los macrólidos, las sulfonamidas y la trimetoprima aumentan el riesgo de infertilidad, aborto espontáneo y malformación congénita, mientras que las betalactámicas y las quinolonas reducen el riesgo. eClinicalMedicine, 22 de noviembre de 2024.

Tratamientos más cortos con antibióticos

06 noviembre 2024

Los médicos que prescriben los antibióticos deben centrarse en duraciones de tratamiento individualizadas y basadas en evidencia, con el objetivo de lograr el tratamiento eficaz más corto que produzca una mejoría clínica. Las duraciones adaptadas facilitarán la adherencia del paciente al tratamiento, ralentizarán la resistencia a los antimicrobianos y reducirán los efectos adversos relacionados con los antibióticos.  Choosing Wisely Canada cuenta con un buen recurso con duraciones recomendadas y basadas en evidencia para adultos y niños con infecciones respiratorias comunes. CMAJ, 4 de noviembre de 2024

Categorias

Etiquetas