Farmacología
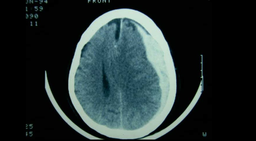
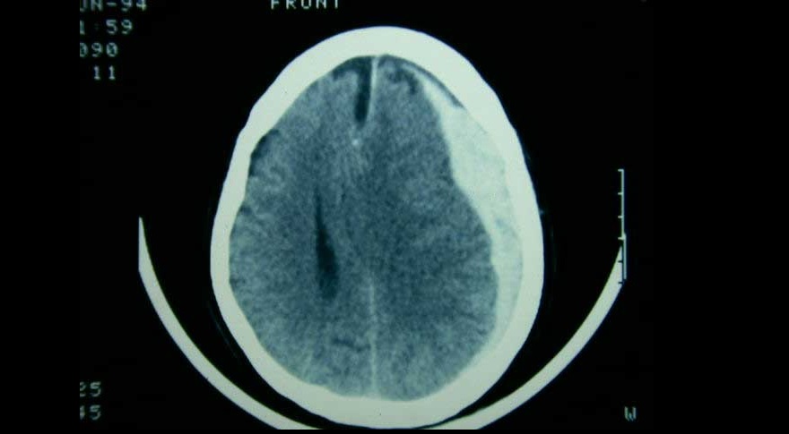
Embolización de la arteria meníngea media en el hematoma subdural subagudo o crónico
21 noviembre 2024
Tres ensayos clínicos exploran la utilidad de la embolización de esta arteria en el manejo del hematoma subdural subagudo o crónico, con miras a reducir la tasa de recurrencias y la necesidad de nuevas intervenciones. New England Journal of Medicine, 20 de noviembre de 2024.
Categorias
- Información de Interes
- Enfermedades infecciosas
- Coronavirus
- Cardiología
- Salud Pública
- CIMEFF Centro de Información de Medicamentos Fundación Femeba
- Alertas de Medicamentos
- Endocrinología
- Oncología
- Psiquiatría / Psicología
- Neurología
- Pediatría
- Seguridad del paciente
- Políticas de medicamentos
- Nutrición
- Gerontología
- Ejercicio profesional
- Uso Racional
- Obstetricia
- Ginecología
- Neumonología
- Gastroenterología
- Investigación
- Hematología
- Dolor
- Nefrología
- Reumatología
- Cirugía
- Traumatología
- Alertas
- Medicina general
- Cuidados Intensivos
- Políticas de medicamentos
- Urología
- Etica e investigación
- Dermatología
- Folia DOC
- Hepatología
- Salud Pública
- Infectología
- Coronavirus
- Cuidado Paliativo
- Gripe A
- Medicamentos Y Seguridad
- Salud_ambiental
- Otorrinolaringología
- Prescripcion
- Oftalmología
- DENGUE
- Alergia e inmunología
- Inteligencia Artificial
- Emergencia
- Virus del ebola
- Tabaco
- Industría farmacéutica
- Toxicología
- Odontología
- Cannabis Medicinal
- Legislacion
- Educación
- Psicofármacos
- Novedades
- Genética
- Hipertensión
- Cardiología
- Calidad
- Farmacología
- Complementaria
- Informática
- Curso Act Comunidad
- Remediar
- Documentos_de_interes
- Enlaces_de_interes
- Imágenes
- corona
- Economía
- Anestesiología
- Principal
- CIMEFF Centro de Información de Medicamentos Fundación Femeba
- COVID-19 prolongado
- Informacion_al_publico
- Boletines
- Agrotoxicos
- Cardiol
- ANMAT farmacovigilancia. Ultimas disposiciones
- Boletines
- Calendario nacional de Vacunacion
- Consultas de Bioética
- Telemedicina
- Farmacia
- Salud de la Mujer
- Complicaciones post-internación
- tos
- Material de cursos
- TICs
- FTN Formulario Terapeutico Nacional
- CIMEFF Centro de Información de Medicamentos Fundación Femeba
- Informes
- daralutamida
- apalutamida
- nalbufina
- enzalutamida
- endocrino
- Guía