Farmacología

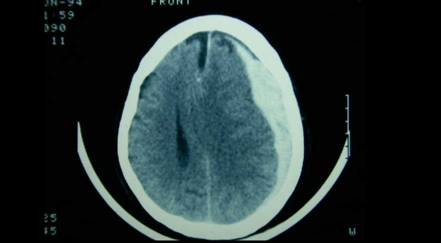
Embolización de la arteria meníngea media en el hematoma subdural subagudo o crónico

21 noviembre 2024

Tres ensayos clínicos exploran la utilidad de la embolización de esta arteria en el manejo del hematoma subdural subagudo o crónico, con miras a reducir la tasa de recurrencias y la necesidad de nuevas intervenciones. New England Journal of Medicine, 20 de noviembre de 2024.

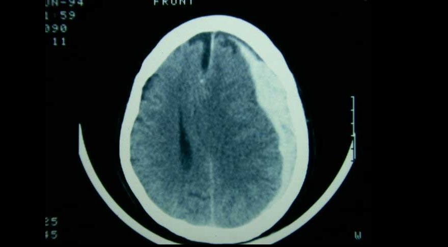
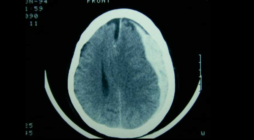
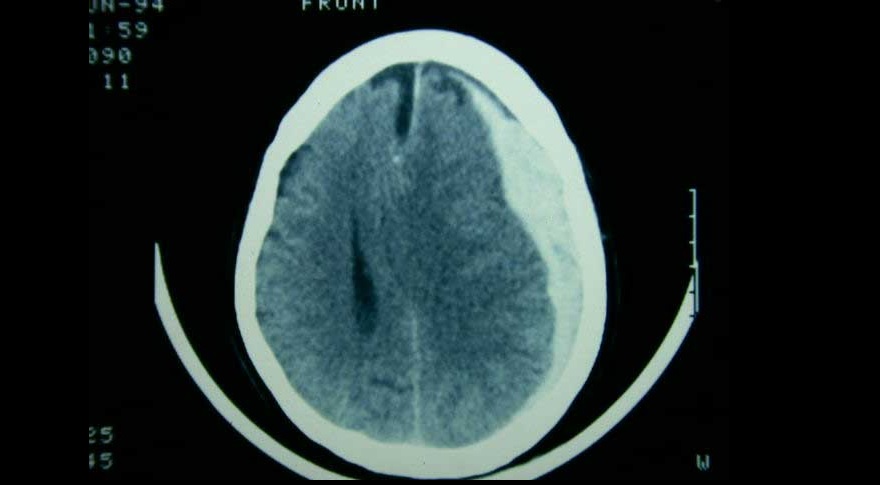
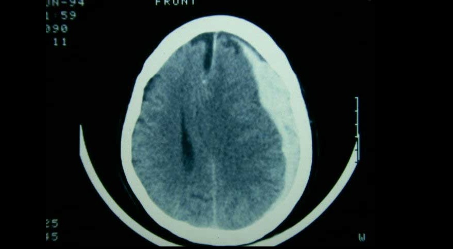
Evacuación inicial o tratamiento conservador en el hematoma subdural agudo

09 mayo 2022

El tratamiento de pacientes con hematoma subdural agudo difiere según el centro de tratamiento, debido a la variación en el abordaje preferido. Una estrategia de tratamiento que prefirió un enfoque agresivo de evacuación quirúrgica aguda sobre el tratamiento conservador inicial no se asoció con un mejor resultado funcional. The Lancet Neurology, 5 de mayo de 2022.

Eficacia y seguridad de la dexametasona en el hematoma subdural crónico

17 diciembre 2020

Un ensayo clínico mostró que el corticoide se asoció a peores resultados clínicos a los seis meses en comparación con placebo, pero con menor cantidad reoperaciones. New England Journal of Medicine, 16 de diciembre de 2020.

Categorias

Etiquetas