Farmacología
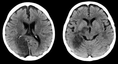
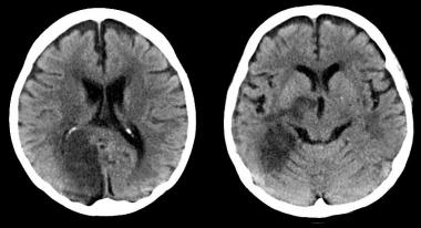
Estenosis carotídea asintomática: ¿tratamiento médico o intervención?
                    02 junio 2020
                
            
            Dados los riesgos perioperatorios y las mejoras en la prevención del accidente cerebrovascular, la terapia médica puede ser una estrategia terapéutica aceptable. JAMA Neurology, 1º de junio de 2020.
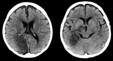
¿Cómo afecta la enfermedad carotídea extracraneal el tratamiento de la oclusión arterial intracraneal?
                    31 mayo 2017
                
            
            La obstrucción mayor del 50% de la carótida interna extracraneal no limitó el beneficio del tratamiento intraarterial agudo en el ictus isquémico de causa intracraneal. Annals of Internal Medicine, 23 de mayo de 2017
Categorias
- Información de Interes
 - Enfermedades infecciosas
 - Coronavirus
 - Cardiología
 - CIMEFF Centro de Información de Medicamentos Fundación Femeba
 - Alertas de Medicamentos
 - Salud Pública
 - Endocrinología
 - Oncología
 - Psiquiatría / Psicología
 - Neurología
 - Pediatría
 - Seguridad del paciente
 - Políticas de medicamentos
 - Gerontología
 - Nutrición
 - Ejercicio profesional
 - Uso Racional
 - Obstetricia
 - Ginecología
 - Neumonología
 - Gastroenterología
 - Investigación
 - Hematología
 - Dolor
 - Nefrología
 - Reumatología
 - Cirugía
 - Traumatología
 - Alertas
 - Medicina general
 - Cuidados Intensivos
 - Políticas de medicamentos
 - Urología
 - Etica e investigación
 - Dermatología
 - Folia DOC
 - Hepatología
 - Salud Pública
 - Infectología
 - Coronavirus
 - Cuidado Paliativo
 - Gripe A
 - Medicamentos Y Seguridad
 - Salud_ambiental
 - Prescripcion
 - Otorrinolaringología
 - Oftalmología
 - DENGUE
 - Alergia e inmunología
 - Virus del ebola
 - Emergencia
 - Tabaco
 - Inteligencia Artificial
 - Industría farmacéutica
 - Odontología
 - Legislacion
 - Toxicología
 - Psicofármacos
 - Cannabis Medicinal
 - Educación
 - Novedades
 - Hipertensión
 - Genética
 - Cardiología
 - Calidad
 - Farmacología
 - Documentos_de_interes
 - Remediar
 - Complementaria
 - Informática
 - Curso Act Comunidad
 - Imágenes
 - Enlaces_de_interes
 - corona
 - Anestesiología
 - Economía
 - Principal
 - CIMEFF Centro de Información de Medicamentos Fundación Femeba
 - COVID-19 prolongado
 - Agrotoxicos
 - Informacion_al_publico
 - Boletines
 - Cardiol
 - Calendario nacional de Vacunacion
 - Boletines
 - ANMAT farmacovigilancia. Ultimas disposiciones
 - Farmacia
 - Informes
 - Salud de la Mujer
 - Material de cursos
 - endocrino
 - daralutamida
 - Complicaciones post-internación
 - CIMEFF Centro de Información de Medicamentos Fundación Femeba
 - TICs
 - apalutamida
 - FTN Formulario Terapeutico Nacional
 - enzalutamida
 - Consultas de Bioética
 - Telemedicina