Farmacología

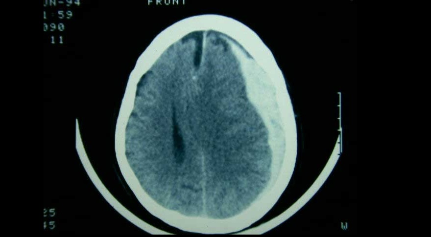
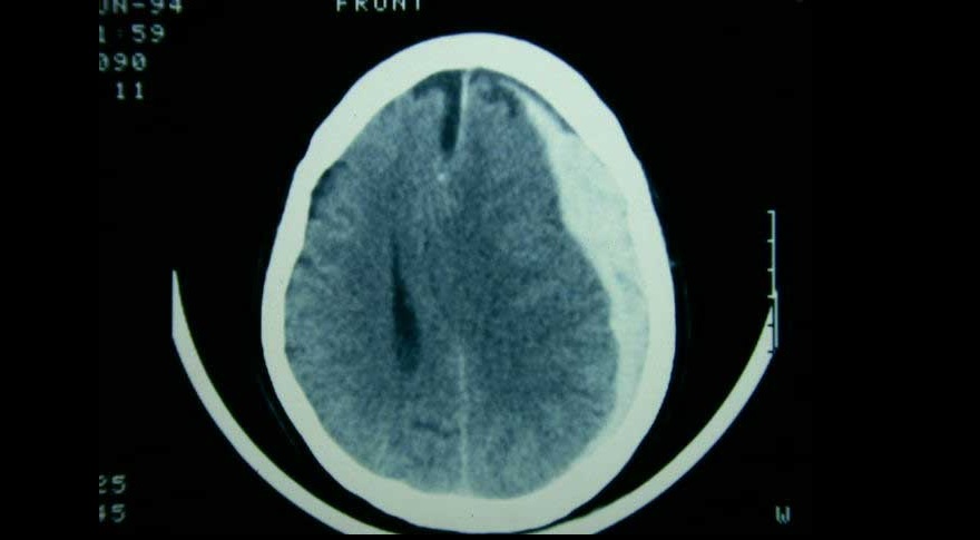
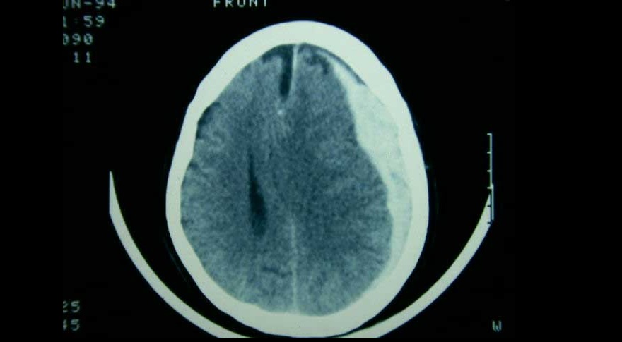
Embolización de la arteria meníngea media en el hematoma subdural subagudo o crónico

21 noviembre 2024

Tres ensayos clínicos exploran la utilidad de la embolización de esta arteria en el manejo del hematoma subdural subagudo o crónico, con miras a reducir la tasa de recurrencias y la necesidad de nuevas intervenciones. New England Journal of Medicine, 20 de noviembre de 2024.

Intervención coronaria percutánea preventiva versus tratamiento médico óptimo para el tratamiento de placas coronarias ateroscleróticas vulnerables

11 abril 2024

En pacientes con placas coronarias vulnerables que no limitan el flujo, la intervención coronaria percutánea preventiva redujo los eventos cardíacos adversos importantes derivados de placas vulnerables de alto riesgo, en comparación con el tratamiento médico óptimo solo. The Lancet, 8 de abril de 2024.

Tratamiento médico o cirugía de bypass gástrico para la nefropatía diabética

15 noviembre 2022

La remisión de la albuminuria a los 5 años no fue estadísticamente diferente entre el mejor tratamiento médico y el bypass en Y de Roux, en participantes con nefropatía diabética y obesidad de clase 1:  6 a 7 de cada diez pacientes lograron la remisión de la microalbuminuria en ambos grupos. La cirugía de bypass fue superior en la mejora de la glucemia, la presión arterial diastólica, los lípidos, el peso corporal y la calidad de vida. eClinicalMedicine, 11 de noviembre de 2022.

Estenosis carotídea asintomática: ¿stent, endarterectomía o tratamiento médico?

04 octubre 2022

En un ensayo clínico abierto de tres ramas con 513 pacientes se comparó la colocación de stent carotídeo o la endarterectomía sumadas al mejor tratamiento médico, con el tratamiento médico solo. Luego de 5 años de seguimiento, no se halló diferencia significativa en el desenlace principal de accidente cerebrovascular o muerte. El estudio se interrumpió antes de lo planeado por dificultad para reclutar pacientes, por lo que los resultados deben interpretarse con precaución. The Lancet Neurology, 1º de octubre de 2022.

Tratamiento médico vs stent en la estenosis arterial intracraneal grave y sintomática

11 agosto 2022

En los pacientes con accidente isquémico transitorio o accidente cerebrovascular isquémico debido a estenosis aterosclerótica intracraneal grave sintomática, la adición de angioplastia transluminal percutánea y colocación de stent al tratamiento médico, en comparación con el tratamiento médico solo, no produjo diferencias significativas en el riesgo de accidente cerebrovascular o muerte. JAMA, 9 de agosto de 2022.

Categorias

Etiquetas