Farmacología

Riesgo de fractura atípica de fémur versus prevención de fracturas por fragilidad con bisfosfonatos

20 agosto 2020

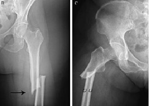
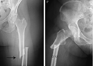
El riesgo de fractura atípica de fémur aumentó con la duración más prolongada del uso de bisfosfonatos y disminuyó rápidamente después de la interrupción del mismo. Los asiáticos tuvieron un riesgo mayor que los blancos. El riesgo absoluto de fractura atípica de fémur se mantuvo muy bajo en comparación con las reducciones en el riesgo de cadera y otras fracturas con el tratamiento con bisfosfonatos N Engl J Med, 20 de agosto de 2020

El uso prolongado de bifosfonatos reduce la resistencia a las fracturas

03 agosto 2017

Luego de un uso promedio de 8 años, los bifosfonatos mostraban tejido cortical más mineralizado pero con menor resistencia al inicio y progresión de la fractura femoral. PNAS, 31 de julio de 2017

Categorias

Etiquetas