Farmacología
Interrupción de la terapia hormonal menopáusica y riesgo de fractura: estudios de casos y controles anidados
                    24 julio 2025
                
            
            La relación entre suspensión del tratamiento hormonal menopáusico y el riesgo de fracturas es compleja: tras la interrupción de la terapia hormonal aumenta considerablemente, generalmente por encima de los niveles de mujeres comparables que nunca la han utilizado, y luego aumenta con menor rapidez en comparación con las mujeres que nunca la han utilizado, para luego reducirse notablemente en la edad avanzada. The Lancet Healthy Longevity, 23 de julio de 2025.
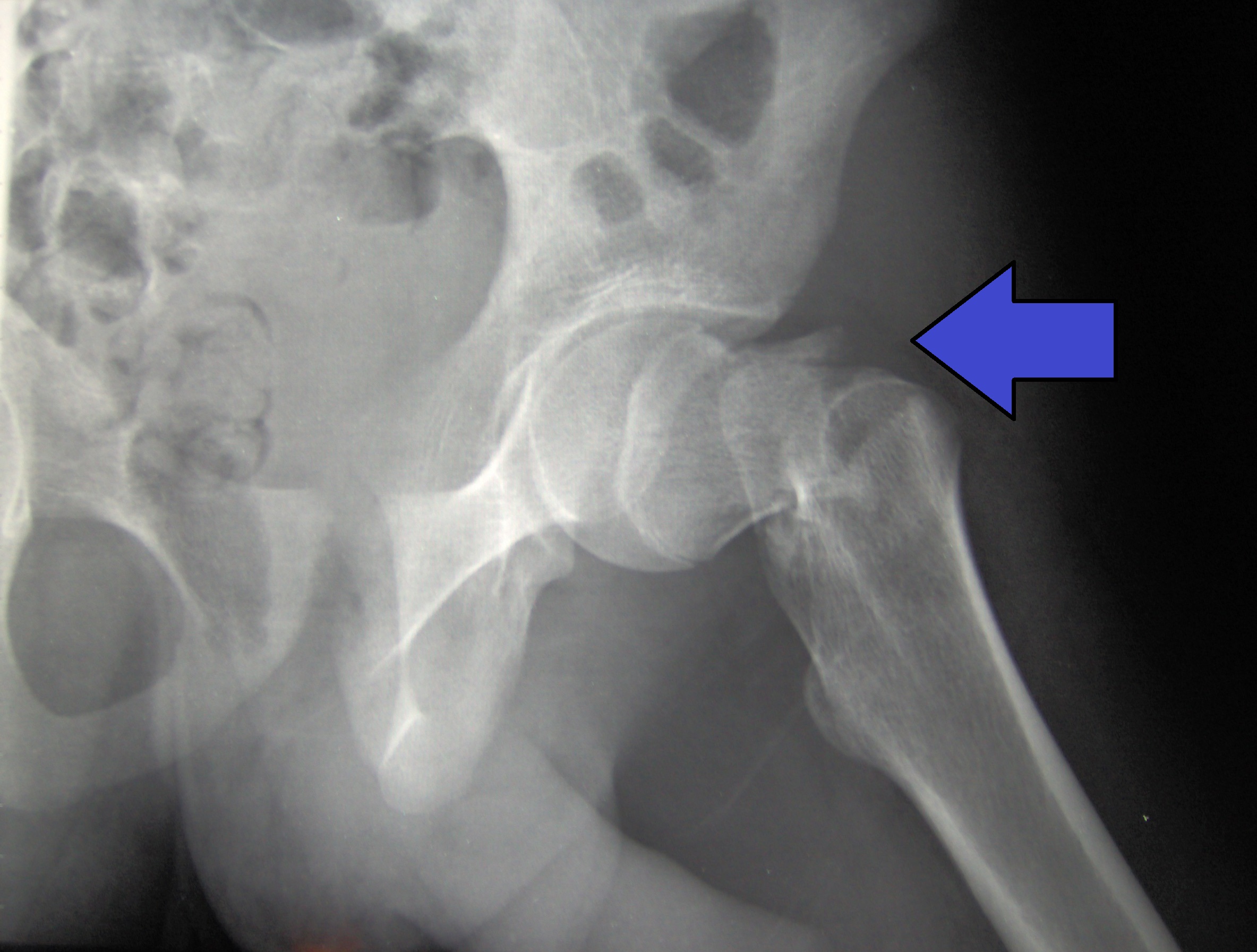
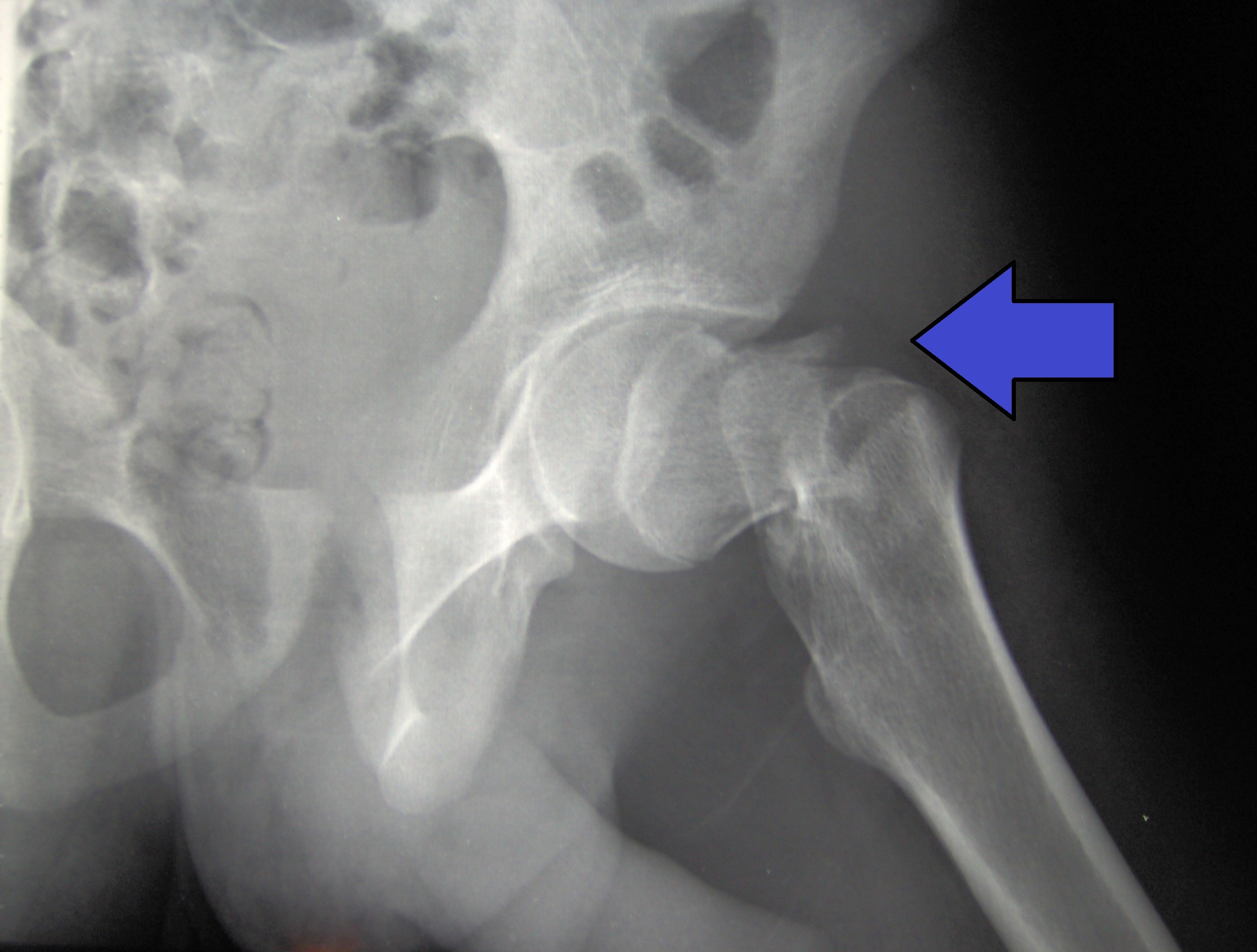
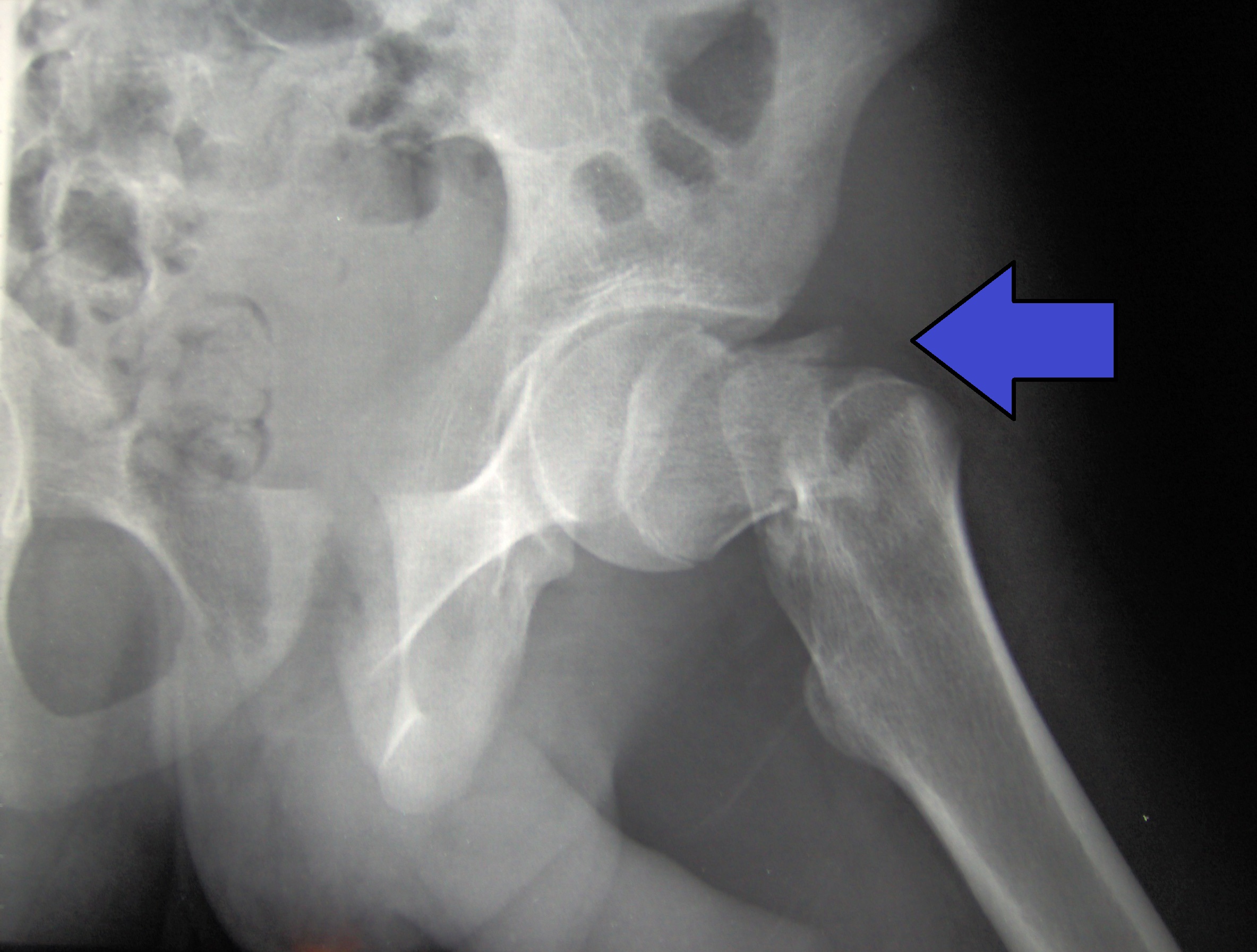
Riesgo de una nueva fractura en mujeres postmenopaúsicas según la intensidad del traumatismo inicial
                    15 junio 2021
                
            
            