Farmacología

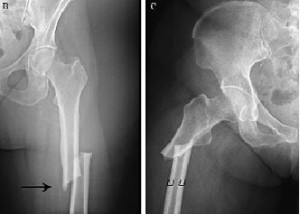
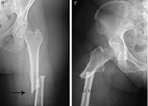
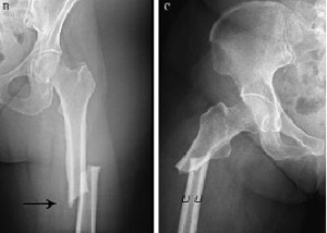
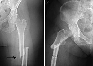
Osteoporosis parte 2: Tratamiento farmacológico

27 enero 2025

Esta es la segunda entrega de la Folia DOC  dedicada a osteoporosis. La primera se enfocó en el diagnóstico, prevención y medidas no farmacológicas, y en esta se aborda el tratamiento farmacológico. El mismo variará según el riesgo estimado de fractura, la consideración de la eficacia y seguridad de los diferentes fármacos, la conveniencia de su administración y las preferencias de las pacientes. FoliaDOC, Fundación FEMEBA, 27 de enero de 2025.

Semaglutida versus placebo en adultos con riesgo aumentado de fractura

06 mayo 2024

Una aplicación semanal de 1 mg de semaglutida durante un año no mostró aumento de los marcadores de formación ósea en adultos con riesgo aumentado de fracturas sino que, por el contrario, se incrementaron los marcadores de resorción ósea y descendieron los valores de densidad mineral ósea de la columna lumbar, efectos atribuidos por los investigadores al descenso de peso obtenido. eClinical Medicine, mayo de 2024..

Riesgo de una nueva fractura en mujeres postmenopaúsicas según la intensidad del traumatismo inicial

15 junio 2021

La recurrencia de fracturas se asoció tanto con una fractura inicial traumática como con una de bajo impacto o no traumática. Estos hallazgos sugieren que la evaluación clínica de la osteoporosis debe realizarse luego de ambos tipos de fractura. JAMA Internal Medicine, 7 de junio de 2021.

Estatinas y diagnóstico de osteoporosis

11 octubre 2019

Se encuentra asociación entre el uso de estatinas y la presencia de osteoporosis, en forma dependiente de la dosis. Esta conexión, que requiere más estudios, debería vigilarse en los pacientes tratados. Annals of the Rheumatic Diseases, 26 de septiembre de 2016

Beneficios y riesgos a largo plazo de los fármacos para prevención de fracturas

25 abril 2019

Una revisión sistemática muestra que el tratamiento con bifosfonatos luego de 3 a 5 años puede reducir las fracturas vertebrales, pero no previene las no vertebrales y aumenta el riesgo de complicaciones infrecuentes pero severas. Annals of Internal Medicine, 23 de abril de 2019

Categorias

Etiquetas