Farmacología
Riesgo de neuropatía oftálmica isquémica anterior no arterítica en pacientes que reciben semaglutida
08 julio 2024
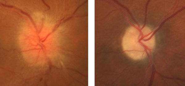
Este estudio de cohorte reveló un mayor riesgo de neuropatía óptica isquémica anterior no arterítica en pacientes a los que se les prescribió semaglutida en comparación con los pacientes a los que se les recetaron otros medicamentos para la diabetes o la obesidad. Se requieren con urgencia nuevos estudios para ver si se replican estos resultados y evaluar la causalidad. JAMA Ophthalmology, 3 de julio de 2024.
Categorias
- Información de Interes
- Enfermedades infecciosas
- Coronavirus
- Cardiología
- CIMEFF Centro de Información de Medicamentos Fundación Femeba
- Alertas de Medicamentos
- Salud Pública
- Endocrinología
- Oncología
- Psiquiatría / Psicología
- Neurología
- Pediatría
- Seguridad del paciente
- Políticas de medicamentos
- Gerontología
- Nutrición
- Ejercicio profesional
- Uso Racional
- Obstetricia
- Ginecología
- Neumonología
- Gastroenterología
- Investigación
- Hematología
- Dolor
- Nefrología
- Reumatología
- Cirugía
- Traumatología
- Alertas
- Medicina general
- Cuidados Intensivos
- Políticas de medicamentos
- Urología
- Etica e investigación
- Dermatología
- Folia DOC
- Hepatología
- Salud Pública
- Infectología
- Coronavirus
- Cuidado Paliativo
- Gripe A
- Medicamentos Y Seguridad
- Salud_ambiental
- Prescripcion
- Otorrinolaringología
- Oftalmología
- DENGUE
- Alergia e inmunología
- Virus del ebola
- Emergencia
- Tabaco
- Inteligencia Artificial
- Industría farmacéutica
- Odontología
- Legislacion
- Toxicología
- Cannabis Medicinal
- Educación
- Psicofármacos
- Novedades
- Genética
- Hipertensión
- Cardiología
- Calidad
- Documentos_de_interes
- Farmacología
- Remediar
- Complementaria
- Informática
- Curso Act Comunidad
- Imágenes
- Enlaces_de_interes
- corona
- Anestesiología
- Economía
- Principal
- CIMEFF Centro de Información de Medicamentos Fundación Femeba
- COVID-19 prolongado
- Agrotoxicos
- Informacion_al_publico
- Boletines
- Cardiol
- Calendario nacional de Vacunacion
- Boletines
- ANMAT farmacovigilancia. Ultimas disposiciones
- Farmacia
- Informes
- Salud de la Mujer
- Material de cursos
- endocrino
- daralutamida
- Complicaciones post-internación
- CIMEFF Centro de Información de Medicamentos Fundación Femeba
- TICs
- apalutamida
- FTN Formulario Terapeutico Nacional
- enzalutamida
- Consultas de Bioética
- Telemedicina