Farmacología

Neuropatía óptica isquémica anterior no arterítica de nueva aparición e iniciadores de semaglutida en veteranos estadounidenses con diabetes tipo 2

02 marzo 2026

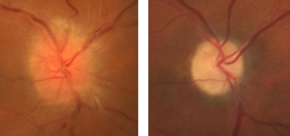
En esta cohorte nacional de veteranos estadounidenses con diabetes tipo 2, los pacientes que iniciaron semaglutida presentaron un riesgo dos veces mayor de neuropatía óptica isquémica anterior no arterítica (NAION) que los que iniciaron un inhibidor del cotransportador de sodio-glucosa-2 (iSGLT2), aunque el riesgo absoluto fue bajo. Se debe informar a los médicos y pacientes sobre el aumento, poco frecuente pero evidente, del riesgo de NAION tras el inicio de semaglutida. JAMA Oftalmol  12 de febrero  de 2026

Riesgo de neuropatía oftálmica isquémica anterior no arterítica en pacientes que reciben semaglutida

08 julio 2024

Este estudio de cohorte reveló un mayor riesgo de neuropatía óptica isquémica anterior no arterítica en pacientes a los que se les prescribió semaglutida en comparación con los pacientes a los que se les recetaron otros medicamentos para la diabetes o la obesidad. Se requieren con urgencia nuevos estudios para ver si se replican estos resultados y evaluar la causalidad. JAMA Ophthalmology, 3 de julio de 2024.

Categorias

Etiquetas