Farmacología

Se contraindica la administración concomitante de ▼Xofigo (dicloruro de radio 223) con acetato de abiraterona y prednisona/prednisolona

15 marzo 2018

AEMPS 13 de marzo de 2018 El PRAC ha iniciado un procedimiento de evaluación a nivel europeo tras conocerse los resultados preliminares de un estudio en los que se observa un incremento del riesgo de mortalidad y fracturas en el grupo de pacientes tratados concomitantemente con Xofigo, acetato de abiraterona y prednisona/prednisolona en comparación con el grupo de referencia.

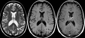
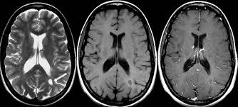
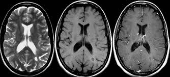
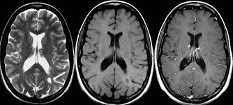
Recomiendan suspender la comercialización en Europa de algunos contrastes con gadolinio

14 marzo 2017

El área de farmacovigilancia de la Agencia Europea de Medicamentos encuentra evidencia de depósitos de gadolinio en el sistema nervioso, aunque no están bien definidas sus consecuencias. EMA, 10 de marzo de 2017

Nuevos antidiabéticos: canagliflozina y mayor riesgo de amputaciones

13 febrero 2017

El Comité de Farmacovigilancia de la Agencia Europea de Medicamentos concluyó que la canagliflozina puede contribuir al riesgo de amputación de dedos del pie, y que este riesgo también puede aplicarse a otros medicamentos en la misma clase. PRAC-EMA, 10 de febrero de 2017

Categorias

Etiquetas